Figure 5

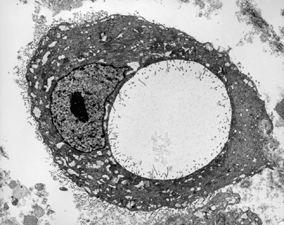
Mesothelioma cell with intracytoplasmic lumen. Microvilli can be seen along the cell membrane and the membrane limiting the lumen. Bundles of intermediate filaments are also apparent in the cytoplasm (× 4400).

Mesothelioma cell with intracytoplasmic lumen. Microvilli can be seen along the cell membrane and the membrane limiting the lumen. Bundles of intermediate filaments are also apparent in the cytoplasm (× 4400).