Figure 6

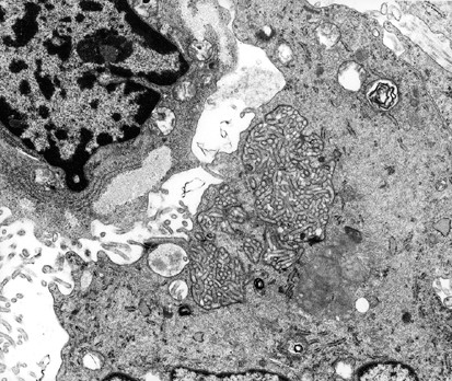
The mesothelioma cell on the right shows early development of what appears to be an intracytoplasmic lumen that is occupied by a profusion of microvilli, while the cell on the left shows small lakes of intracytoplasmic glycogen (× 15 200).

The mesothelioma cell on the right shows early development of what appears to be an intracytoplasmic lumen that is occupied by a profusion of microvilli, while the cell on the left shows small lakes of intracytoplasmic glycogen (× 15 200).