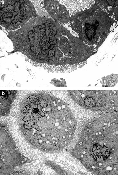
Figure 7

(a) The basal lamina, which is apparent on both the right and left sides of this figure, appears absent in the center, probably as a result of the proliferation of microvilli, which gives the impression of invading into the adjacent stroma (× 7600). (b) The entire cell membrane of the mesothelioma cell in the center of the figure is covered by microvilli (× 5300).