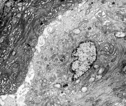
Figure 8 | Modern Pathology