Figure 5
From: Cystic angiomyolipoma of the kidney: a clinicopathologic description of 11 cases

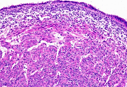
The common appearance of cystic AML. Note prominent lymphatic spaces. H&E × 150.
From: Cystic angiomyolipoma of the kidney: a clinicopathologic description of 11 cases

The common appearance of cystic AML. Note prominent lymphatic spaces. H&E × 150.