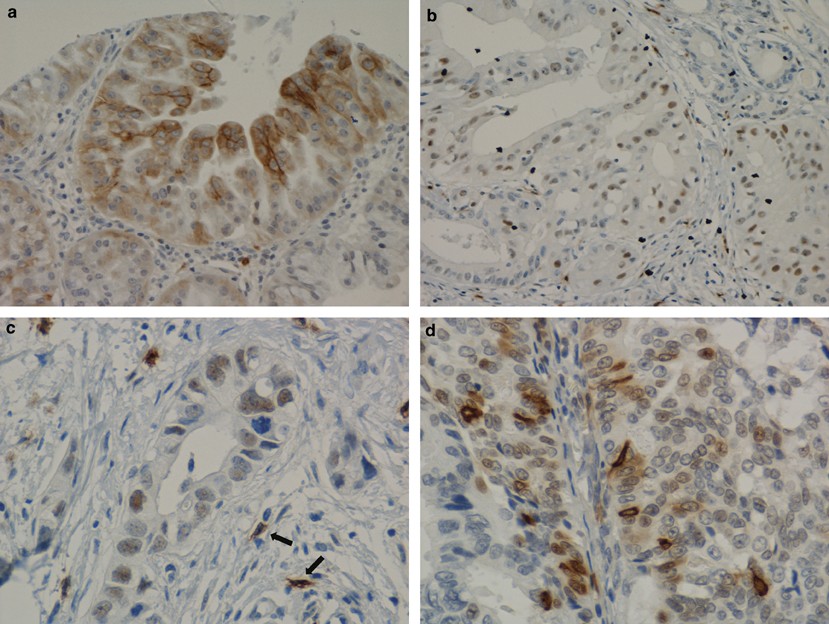
Figure 1

KIT expression in extrahepatic bile duct carcinoma. (a) A case of extrahepatic bile duct carcinoma shows cytoplasmic KIT expression (× 200). (b) A case of extrahepatic bile duct carcinoma shows nuclear KIT expression (× 200). (c) Mast cells in the stroma of extrahepatic bile duct carcinoma case are strongly stained (arrows) (× 400). (d) A case of extrahepatic bile duct carcinoma shows both cytoplasmic and nuclear KIT expression (× 200).