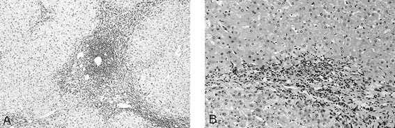
FIGURE 5
From: Liver Pathology: Cirrhosis, Hepatitis, and Primary Liver Tumors. Update and Diagnostic Problems

Hepatitis C with cirrhosis. A, note the lymphoid aggregate typical of hepatitis C and the rounded nodules of the cirrhosis (25×). B, interface hepatitis at the edge of a nodule for a Grade 2 on a scale of 4 for necroinflammatory activity (50×).