FIGURE 1

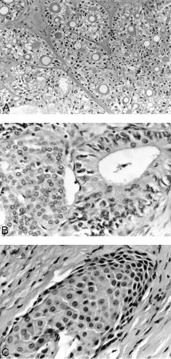
Mucoepidermoid carcinoma. A, nest of tumor cells with luminal mucin production. B, high-power view showing both ductal and epidermoid components. C, a nest of epidermoid component showing intercellular bridges and keratinized cells.

Mucoepidermoid carcinoma. A, nest of tumor cells with luminal mucin production. B, high-power view showing both ductal and epidermoid components. C, a nest of epidermoid component showing intercellular bridges and keratinized cells.