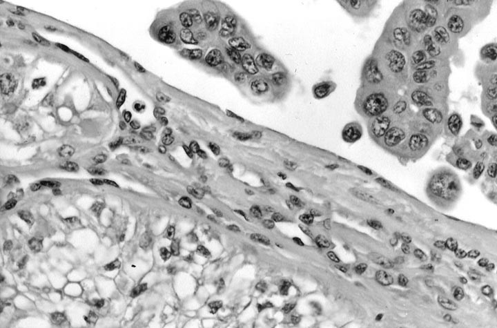
FIGURE 3

Mucoepidermoid carcinoma: A case showing concomitant tall cell variant of papillary carcinoma and mucoepidermoid carcinoma.

Mucoepidermoid carcinoma: A case showing concomitant tall cell variant of papillary carcinoma and mucoepidermoid carcinoma.