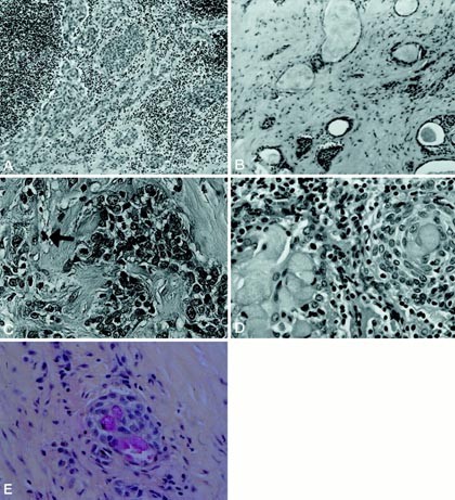
FIGURE 4

Sclerosing mucoepidermoid carcinoma with eosinophilia (SMECE). A, tumor cells arranged in cords and nests in a background of sclerosis and lymphocytic thyroiditis. B, another view of SMECE showing tumor nests with mucous cyst formation in a background of sclerosis. C, high-power view showing tumor nest in a background eosinophil-rich (arrow) inflammatory infiltrate. D, squamous and glandular differentiation. E, a positive mucicarmine stain highlighting the mucin production in SMECE.