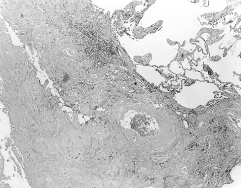
FIGURE 1

Amyloidoma: Sharply demarcated dense amyloid deposits in the lung parenchyma and blood vessels were associated with a scant lymphoplasmacytic infiltrate that was more prominent at the periphery of the nodule than in its center (hematoxylin and eosin stain, original magnification, 16 ×).