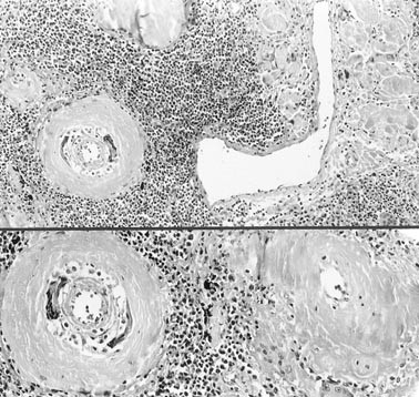
FIGURE 6

Malignant lymphoma: Vascular wall deposits of amyloid were accompanied by a granulomatous reaction. The lymphoid infiltrate in lymphomas was intense and lacked a gradient from the center of the nodular lesions to their periphery (hematoxylin and eosin stain, original magnification, 40 ×, top; 80 ×, bottom).