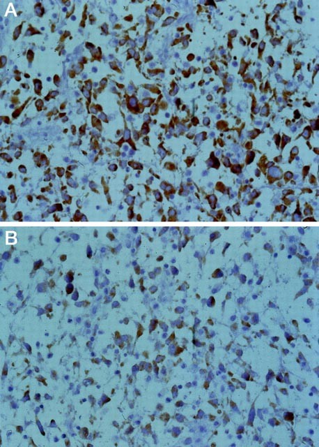
FIGURE 2

Immunohistochemistry in inflammatory myofibroblastic tumors. A, ALK-1 cytoplasmic positivity. B, p80 cytoplasmic positivity.

Immunohistochemistry in inflammatory myofibroblastic tumors. A, ALK-1 cytoplasmic positivity. B, p80 cytoplasmic positivity.