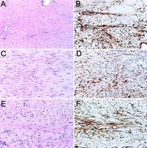
FIGURE 1
From: Superficial Fibromatoses are Genetically Distinct from Deep Fibromatoses

A and B, deep fibromatosis (desmoid tumor), hematoxylin and eosin (H&E) (A) and β-catenin immunohistochemistry (B). Note that most of the nuclei (estimate: 80%) show β-catenin accumulation, whereas the endothelial cell nuclei and infiltrated skeletal myocyte nuclei are negative. C and D, plantar fibromatosis. These superficial fibromatoses are frequently mitotically active (C, H&E). On the immunohistochemical preparation (D), scattered nuclei (estimate: 10 to 15%) display nuclear β-catenin accumulation, and cytoplasmic staining is focally present. No mutations were identified in either the β-catenin or APC genes. EandF, infantile digital fibromatosis showing the characteristic cytoplasmic inclusions (E, H&E). Scattered nuclei (estimate: 10 to 15% in this field) also show β-catenin accumulation by immunohistochemistry (F), although no mutations were identified in either the β-catenin or APC genes.