FIGURE 2
From: Metaplastic Lesions of the Extrahepatic Bile Ducts: A Morphologic and Immunohistochemical Study

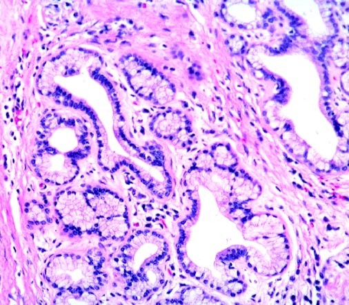
Metaplastic pyloric type epithelium has replaced part of the normal biliary epithelium of these intramural glands.
From: Metaplastic Lesions of the Extrahepatic Bile Ducts: A Morphologic and Immunohistochemical Study

Metaplastic pyloric type epithelium has replaced part of the normal biliary epithelium of these intramural glands.