FIGURE 4
From: Metaplastic Lesions of the Extrahepatic Bile Ducts: A Morphologic and Immunohistochemical Study

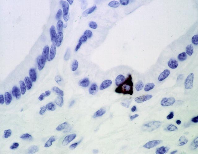
A single endocrine cell is seen between cuboidal and columnar mucinous cells.
From: Metaplastic Lesions of the Extrahepatic Bile Ducts: A Morphologic and Immunohistochemical Study

A single endocrine cell is seen between cuboidal and columnar mucinous cells.