FIGURE 5
From: Metaplastic Lesions of the Extrahepatic Bile Ducts: A Morphologic and Immunohistochemical Study

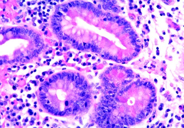
Intestinal metaplasia. The glands contain goblet cells, and Paneth granules are seen in some cells.
From: Metaplastic Lesions of the Extrahepatic Bile Ducts: A Morphologic and Immunohistochemical Study

Intestinal metaplasia. The glands contain goblet cells, and Paneth granules are seen in some cells.