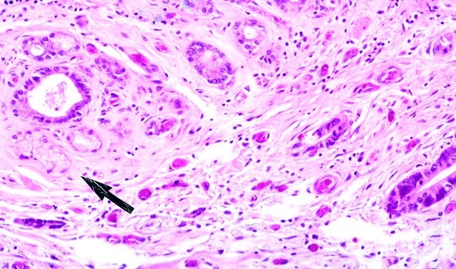
FIGURE 8
From: Metaplastic Lesions of the Extrahepatic Bile Ducts: A Morphologic and Immunohistochemical Study

Neoplastic glands are present adjacent to the metaplastic glands (arrow).
From: Metaplastic Lesions of the Extrahepatic Bile Ducts: A Morphologic and Immunohistochemical Study

Neoplastic glands are present adjacent to the metaplastic glands (arrow).