FIGURE 1

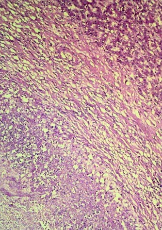
The image of the liver lesion shows a wide fibrotic reaction surrounding necrotic areas (at the bottom). (Hematoxylin–eosin staining, original magnification, 200×.)

The image of the liver lesion shows a wide fibrotic reaction surrounding necrotic areas (at the bottom). (Hematoxylin–eosin staining, original magnification, 200×.)