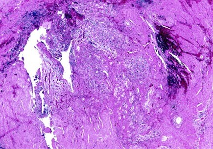
FIGURE 2

Cross-section of ureter. Its lumen is almost completely obliterated by nephrogenic metaplasia, inflammatory cells, and fibrosis.

Cross-section of ureter. Its lumen is almost completely obliterated by nephrogenic metaplasia, inflammatory cells, and fibrosis.