FIGURE 3

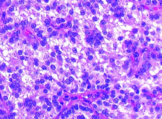
Carcinoma with neuroendocrine features. Note rosettes and peripheral arrangement of nuclei with eosinophilic granular cytoplasm and finely granular chromatin (lung FS, H 40 × ;TIF).

Carcinoma with neuroendocrine features. Note rosettes and peripheral arrangement of nuclei with eosinophilic granular cytoplasm and finely granular chromatin (lung FS, H 40 × ;TIF).