FIGURE 3

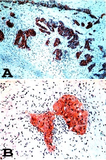
Myoglobin immunoreactivity in a desmoplastic small round cell tumor under low (A) and high (B) magnification (immunoperoxidase staining).

Myoglobin immunoreactivity in a desmoplastic small round cell tumor under low (A) and high (B) magnification (immunoperoxidase staining).