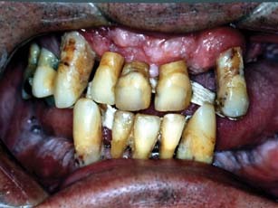
Fig. 5 | British Dental Journal