Figure 2
From: Cytokeratin 7 and 20 staining for the diagnosis of lung and colorectal adenocarcinoma

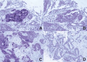
CK20 (A) and CK7 (B) immunostaining of primary colon adenocarcinoma. CK20 (C) and CK7 (D) immunostain of metastatic colon cancer to liver. There is focal strong cytoplasmic staining for CK20 in both the primary and the metastatic lesion and negative staining with CK7 (original magnification 200 ×).