Figure 2
From: Wnt-signalling pathway in ovarian epithelial tumours: increased expression of β-catenin and GSK3β

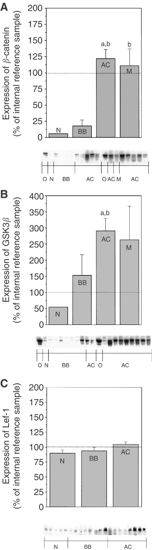
Beta-catenin, GSK3β and Lef-1 protein expression presented with histograms and representative immunoblots. The semiquantitative measurements are expressed as mean±s.e.m. and as percentage changes from an internal reference sample, the same for each gel. Kruskal–Wallis, followed by the Wilcoxon rank-sum test as post hoc test, was used for statistical analysis of the data obtained by densitometric scanning. a – P<0.05 vs normal (N) b – P<0.05 vs benign/borderline (BB). (A, B) O=OVCAR-3 cells, N=normal ovary (n=2), BB=benign serous adenoma/adenofibroma and borderline type tumour (n=8), AC=adenocarcinoma; highly, moderately and poorly differentiated (n=21), M=peritoneal metastasis (n=4). An undifferentiated carcinoma (not included in the histogram) was used as an internal reference sample. (A) Expression of β-catenin. (B) Expression of GSK3β. (C) Expression of Lef-1. N=normal ovary (n=7), BB=benign serous adenoma/adenofibroma and borderline-type tumour (n=9), AC=adenocarcinoma; highly, moderately and poorly differentiated (n=20). One of the adenocarcinomas was used as an internal reference sample.