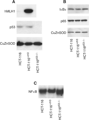
Figure 1

Basal expression of p53, hMLH1, IκBα and p65 in untreated colorectal cancer cell lines. Cytoplasmic extracts were made from untreated cells and Western blots probed with p53 and hMLH1 antibodies to confirm the expression profile of the cell lines (A). Cytoplasmic extracts were probed with sheep polyclonal IκBα and rabbit polyclonal p65 antibodies to examine the basal expression of proteins in the cell lines (B). The Western blots shown are representative of at least three independent experiments and Cu/Zn SOD was used as a control for protein loading. Electrophoretic mobility shift assay using NFκB consensus oligonucleotide, performed on nuclear extracts of untreated cells, demonstrated basal NFκB DNA binding activity (C).