Figure 1

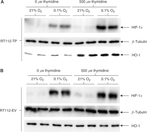
Treatment of RT112-TP with thymidine further augments HIF-1α levels under hypoxia. Duplicate dishes of RT112-TP and RT112-EV were exposed to thymidine and/or hypoxia. Immunoblotting for the hypoxia-inducible factor HIF-1α was then undertaken. In addition, levels of the marker of oxidative stress HO-1, and the loading control β-tubulin, were also assessed. As with previous in vitro studies (Brown et al, 2000), HO-1 levels were increased in RT112-TP treated with thymidine, but were not raised in thymidine-treated RT112-EV, suggesting that TP activity causes oxidative stress. The hypoxic induction of HIF-1α was greater in the plates where RT112-TP had been exposed to thymidine, implying a cooperative induction of HIF-1α by hypoxia and TP activity. In contrast, thymidine treatment of RT112-EV has no effect upon the hypoxic induction of HIF-1α in this control cell line.