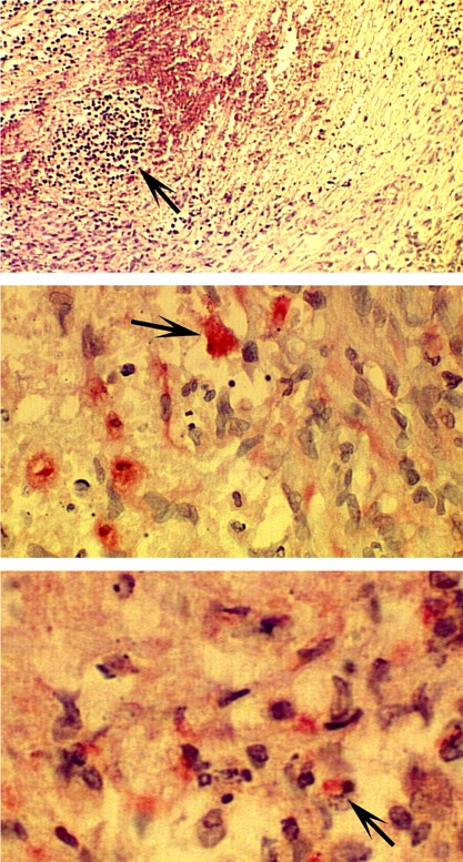
Figure 4

Immunohistochemical staining of the oxidative stress markers haem oxygenase-1 (HO-1) and 4-hydroxy-2-nonenal in RT112-TP tumours. The top panel is a low-power view with haematoxylin stain. The arrows indicate the sections stained for HO-1 (middle panel) and 4-hydroxy-2-nonenal (lower panel). The ex vivo RT112-TP tumour stained positive for both HO-1 and 4-hydroxy-2-nonenal. All normal tissues examined, including bladder, were negative for these markers (see Results).