Figure 3
From: Gene expression profiling of noninvasive primary urothelial tumours using microarrays

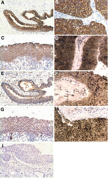
Representative immunohistochemical stains for (A, B) KRT7, (C, D) SDC1, (E, F) CDK4 and (G, H) JUND in Ta tumours in normal urothelium (left panel) and Ta tumour (right panel). No ab control (I). Original magnification: × 20.