Figure 3

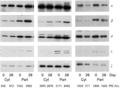
Western blots of PKC isoforms in melanoma biopsies from three patients before and during midostaurin therapy (left to right, patient number 8, 9, 12). Cyt=cytosolic, Part=particulate, PKC Act=PKC activity on corresponding day.

Western blots of PKC isoforms in melanoma biopsies from three patients before and during midostaurin therapy (left to right, patient number 8, 9, 12). Cyt=cytosolic, Part=particulate, PKC Act=PKC activity on corresponding day.