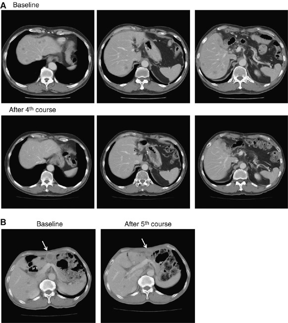
Figure 3

Serial CT scans. (A) A 60-year-old male with pancreatic cancer who was treated with NK105 at a dose level of 150 mg m−2. Baseline scan (upper panels) showing multiple metastasis in the liver. Partial response, characterized by a more than 90% decrease in the size of the liver metastasis (lower panels) compared with the baseline scan. The antitumour response was maintained for nearly 1 year. (B) A 64-year-old male with stomach cancer who was treated with NK105 at a dose level of 150 mg m−2. Baseline scan (left panel) showing a peritoneal metastasis and liver metastasis. About 40% reduction (right panel) was observed in peritoneal metastasis, but not in the liver metastasis after fifth course.