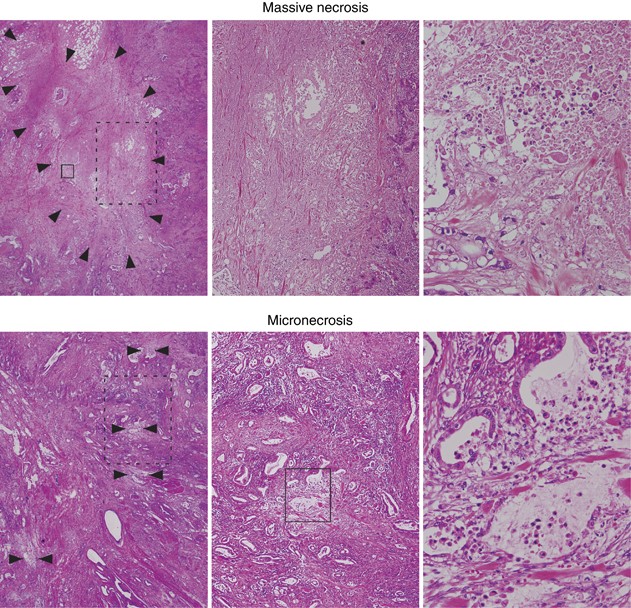
Figure 1

Representative histology of massive necrosis (upper columns) and micronecrosis (lower columns). Arrows indicate necrotic area. Left, centre, and right columns are in low ( × 6.25), middle ( × 20), and high magnification ( × 100), respectively. High power view of histology in right columns corresponds to the rectangle (solid line) in left or middle column. Middle power view of histology in centre columns corresponds to the rectangle (dotted line) in left columns.