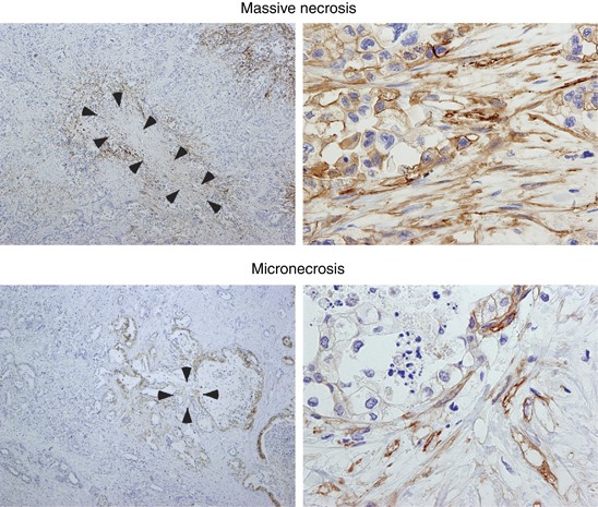
Figure 2

Hypoxia is reflected by the presence of massive necrosis or micronecrosis. Expression of CAIX is immunohistochemically detectable in both cancer cells and stromal cells within or around areas of massive necrosis (upper columns) and micronecrosis (lower columns). Carbonic anhydrase IX is expressed in plasma membrane. Arrows indicate necrotic area. Low power view (left columns) and high power view (right columns).