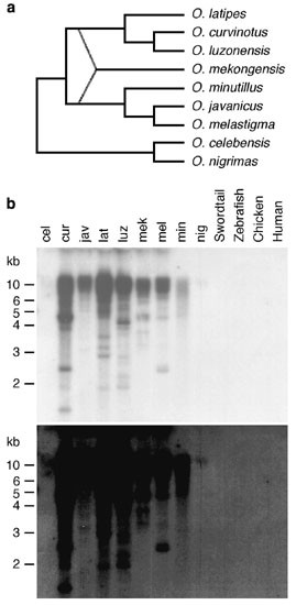
Figure 5
From: Gamera, a family of LINE-like repetitive sequences widely distributed in medaka and related fishes

Distribution of Gamera among species. (a) Phylogenetic tree of the nine species of the genus Oryzias used in the present study. The scheme was redrawn from references (Naruse et al, 1993; Naruse, 1996) and personal communication (JS Albert and K Naruse). Noth that the phylogenetic position of O. mekongensis has not been well established. (b) Southern blot analysis to examine the distribution of Gamera among species. The names of species in the genus Oryzias are abbreviated to their first three letters. Genomic DNAs (see text for amounts) were digested with BamHI and elctrophoresed on a 0.8% agarose gel. The nylon membrane blotted with the DNAs was hybridized with probe b (see Figure 1). The sizes and mobilities of the size marker DNA fragments are indicated along the left margin. The two autodiagrams were produced from the same hybridization membrane, with different durations of exposure to film. The upper is after 2-h exposure, and the lower after 18-h exposure. Hybridization signals appear in the lower autodiagram for O. celebensis and O. nigrimas. Further longer exposure did not produce band-like signals for the four species outside the genus Oryzias (not shown).