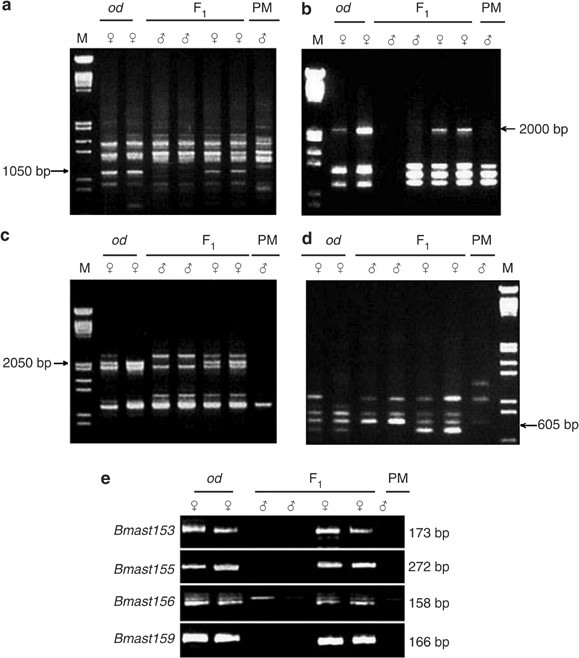
Figure 4

Identification of W chromosome-specific RAPD (a–d) and SSR (e) markers; (a) OPA-09, (b) OPC-09, (c) OPI-18, (d) OPM-06, and (e) Bmsat153, Bmsat155, Bmsat156, and Bmsat159 in translucent (od) females (♀), F1 males (♂), F1 females (♀), and Pure Mysore (PM) male (♂). Arrow indicates W-specific markers. M: Lambda HindIII digest size marker.