Abstract
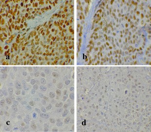
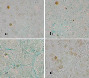
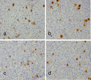
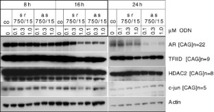
We have shown recently that a 15-mer phosphorothioate oligodeoxynucleotide (ODNas750/15) that hybridizes to the (CAG)n polyglutamine region of mRNA encoding human androgen receptor (AR) inhibits the expression of AR in LNCaP prostate cancer cells in vitro. This AR downregulation was accompanied by significant cell growth inhibition and reduced PSA secretion. In the present study we investigated the effects of this antisense AR ODN on prostate tumor growth in vivo using a mouse xenograft model. Via subcutaneously implanted diffusion pumps, either ODNas750/15 or a scrambled control sequence ODNsr750/15 was continuously administered into LNCaP tumor–bearing male nude mice for 7 weeks. Compared with untreated control animals, treatment with ODNas750/15 resulted in significant tumor growth inhibition. Retardation of tumor growth was also significant in castrated mice, whereas the scrambled control ODN did not exert any effects. No side effects such as loss of body weight were observed at any time of treatment. ODN treatment was well tolerated and, in contrast to castration, did not induce shrinkage of mouse prostates. Both AR expression in the tumor and PSA levels in mouse serum correlated with tumor size. However, we failed to demonstrate a correlation between tumor retardation and Ki-67 antigen expression and the number of apoptotic cells, respectively. Testing of antisense-treated LNCaP cells revealed that expression levels of other proteins that contain shorter polyglutamine sequence stretches such as HDAC2, TFIID, and c-jun were not affected. The present study demonstrates that downregulation of AR with antisense ODNas750/15 causes prostate tumor growth inhibition. These results further point out the important role of the AR in prostate tumors and support further testing of AR downregulation for treatment of prostate cancer.
This is a preview of subscription content, access via your institution
Access options
Subscribe to this journal
Receive 12 print issues and online access
$259.00 per year
only $21.58 per issue
Buy this article
- Purchase on SpringerLink
- Instant access to the full article PDF.
USD 39.95
Prices may be subject to local taxes which are calculated during checkout







Similar content being viewed by others
References
Saunders FJ . Some aspects of relation of structure of steroids to their prostate stimulating effects In: Vollmer ED, (eds). Prostate and related tissues Washington, DC: US Governing Printing Office 1963 139–159
Rosenberg AG, von Eschenbach AC . Hormonal therapy for prostate cancer Semin Surg Oncol 1990 6: 71–76
Kyprianou N, English HF, Isaacs JT . Programmed cell death during regression of PC-82 human prostate cancer following androgen ablation Cancer Res 1990 50: 3748–3753
Stein CA, Narayanan R . Antisense oligodeoxynucleotides Curr Opin Oncol 1994 6: 587–594
Wagner R . Gene inhibition using antisense oligodeoxynucleotides Nature 1994 372: 333–335
Cucco C, Calabretta B . In vitro and in vivo reversal of multidrug resistance in a human leukemia–resistant cell line by mdr1 antisense oligodeoxynucleotides Cancer Res 1996 56: 4332–4337
Monia BP, Johnston JF, Geiger T, Muller M, Fabbro D . Antitumor activity of a phoshorothioate antisense oligodeoxynucleotide targeted against C-raf kinase Nat Med 1996 2: 668–675
Ziegler A, Luedke GH, Fabbro D, Altman KH, Stahel RA, Zangemeister-Wittke U . Induction of apoptosis in small cell lung cancer cells by antisense oligodeoxynucleotide targeting the Bcl-2 coding sequence J Natl Cancer Inst 1997 89: 1027–1036
Jansen B, Schlagbauer-Wadl H, Brown BD et al. bcl-2 antisense therapy chemosensitizes human melanoma in SCID mice Nat Med 1998 4:
Khuri FR, Kurie JM . Antisense approaches enter the clinic Clin Cancer Res 2000 6: 1607–1610
Eder IE, Culig Z, Ramoner R et al. Inhibition of LNCaP prostate cancer cells by means of androgen receptor antisense oligonucleotides Cancer Gene Ther 2000 7: 997–1007
Gottlieb B, Beitel LK, Lumbroso R, Pinsky L, Triforo M . Update of the androgen receptor gene mutations database Hum Mutat 1999 14: 103–114
Culig Z, Hobisch A, Cronauer MV et al. Androgen receptor activation in prostatic tumor cell lines by insulin-like growth factor-I, keratinocyte growth factor and epidermal growth factor Cancer Res 1994 54: 5474–5478
Nazareth LV, Weigel NL . Activation of the human androgen receptor through a protein kinase A signaling pathway J Biol Chem 1996 271: 19900–19907
Culig Z, Hobisch A, Hittmair A et al. Hyperactive androgen receptor in prostate cancer: what does it mean for new therapy concepts? Histol Histopathol 1997 12: 781–786
Visakorpi T, Hyytinen E, Koivisto P et al. In vivo amplification of the androgen receptor gene and progression of human prostate cancer Nat Genet 1995 9: 401–406
Hobisch A, Culig A, Radmayr C, Bartsch G, Klocker H, Hittmair A . Distant metastases from prostatic carcinoma express androgen receptor protein Cancer Res 1995 55: 3068–3072
Bradford MM . A rapid and sensitive method for the quantitation of microgram quantities of protein utilizing the principle of protein–dye binding Anal Biochem 1976 72: 248–254
Geiger T, Muller M, Monia BP, Fabbro D . Antitumor activity of a c-raf antisense oligonucleotide in combination with standard chemotherapeutic agents against various human tumors transplanted subcutaneously into nude mice Clin Cancer Res 1997 3: 1179–1185
Stevenson JP, Yao KS, Gallagher M et al. Phase I clinical/pharmacodynamic trial of the c-raf-1 antisense oligonucleotide ISIS 5132 (CGP 69846A) J Clin Oncol 1999 17: 2227–2236
Cunningham CC, Holmlund JT, Schiller JH et al. A phase I trial of C-raf kinase antisense oligonucleotide ISIS 5132 administered as a continuous intravenous infusion in patients with advanced cancer Clin Cancer Res 2000 6: 1626–1631
Tortora G, Bianco R, Damiano V et al. Oral antisense that targets protein kinase A cooperates with taxol and inhibits tumor growth, angiogenesis, and growth factor production Clin Cancer Res 2000 6: 2506–2512
Nemunaitis J, Holmlund JT, Kraynak M et al. Phase I evaluation of ISIS 3521, an antisense oligodeoxynucleotide to protein kinase C-a, in patients with advanced cancer J Clin Oncol 1999 17: 3586–3595
Yuen AR, Halsey J, Fisher GA et al. Phase I study of an antisense oligonucleotide to protein kinase C-a (ISIS 3521/CGP 64128A) in patients with cancer Clin Cancer Res 1999 5: 3357–3363
Costa-Pereira AP, McKenna SL, Cotter TG . Activation of SAPK/JNK by camptothecin sensitizes androgen-independent prostate cancer cells to Fas-induced apoptosis Br J Cancer 2000 82: 1827–1834
Miyake H, Tolcher A, Gleave ME . Antisense bcl-2 oligodeoxynucleotides inhibit progression to androgen-independence after castration in the Shionogi tumor model Cancer Res 1999 59: 4030–4034
Miyake H, Monia BP, Gleave ME . Inhibition of progression to androgen-indepence by combined adjuvant treatment with antisense BCL-X and antisense Bcl-2 oligonucleotides plus taxol after castration in the Shionogi tumor model Int J Cancer 2000 86: 855–862
Cariou S, Donovan JC, Flanagan WM, Milic A, Bhattacharya N, Slingerland JM . Down-regulation of p21WAF1/CIP1 or p27Kip1 abrogates antiestrogen-mediated cell cycle arrest in human breast cancer cells Proc Natl Acad Sci USA 2000 97: 9042–9046
Nguyen JT . Vascular endothelial growth factor as a target for cancer gene therapy Adv Exp Med Biol 2000 465: 447–456
Wang H, Liu Y, Wei L, Guo Y . Antisense IGF and antisense IGF-IR therapy of malignancy Adv Exp Med Biol 2000 465: 265–272
Crawford ED, Eisenberger MA, McLeod DG et al. A controlled trial of leuprolide with and without flutamide in prostatic carcinoma N Engl J Med 1989 321: 419–424
Labrie F, Belanger A, Simard J, Labrie C, Dupont A . Combination therapy for prostate cancer — endocrine and biologic basis of its choice as new standard first-line therapy Cancer 1993 71: 1059–1067
Hobisch A, Culig Z, Radmayr C, Bartsch G, Klocker H, Hittmair A . Androgen receptor status of lymph node metastases from prostate cancer Prostate 1996 28: 129–135
Veldscholte J, Ris-Stalpers C, Kuiper GGJM et al. A mutation in the ligand binding domain of the androgen receptor of human LNCaP cells affects steroid binding characteristics and response to anti-androgens Biochem Biophys Res Commun 1990 17: 534–540
Culig Z, Hobisch A, Cronauer MV et al. Mutant androgen receptor detected in an advanced-stage prostatic carcinoma is activated by adrenal androgens and progesterone Mol Endocrinol 1993 7: 1541–1550
Zhao X-Y, Malloy PJ, Krishnan AV et al. Glucocorticoids can promote androgen-independent growth of prostate cancer cells through a mutated androgen receptor Nat Med 2000 6: 703–706
Sadar MD . Androgen-independent induction of prostate-specific antigen gene expression via cross-talk between the androgen receptor and protein kinase A signal transduction pathways J Biol Chem 1999 274: 7777–7783
Whitfield GK, Jurutka PW, Haussler CA, Haussler MR . Steroid hormone receptors: evolution, ligands, and molecular basis of biologic function J Cell Biochem 1999 Suppl 32–33 110–122
Kandimalla ER, Yu D, Zhao Q, Agrawal S . Effect of chemical modifications of cytosine and guanine in a CpG-motif of oligonucleotides: structure–immunostimulatory activity relationships Bioorg Med Chem 2001 9: 807–813
Stein CA, Cheng Y-C . Antisense oligonucleotides as therapeutic agents — is the bullet really magical? Science 1993 261: 1004–1012
Stein CA . Does antisense exist? Nat Med 1995 1: 1119–1121
Wooldridge JE, Ballas Z, Krieg AM, Weiner GJ . Immunostimulatory oligodeoxynucleotides containing CpG motifs enhance the efficacy of monoclonal therapy of lymphoma Blood 1997 89: 2994–2998
Rubenstein M, Mirochnik Y, Chou P, Guinan P . Antisense oligonucleotides intralesional therapy for human PC-3 prostate tumors carried in athymic nude mice J Surg Oncol 1996 62: 194–200
Rubenstein M, Mirochnik Y, Ray V, Guinan P . Lack of toxicity associated with the systemic administration of antisense oligonucleotides for treatment of rats bearing LNCaP prostate tumors Med Oncol 1997 14: 131–136
Bost F, McKay R, Dean NM, Potapova O, Mercola D . Antisense methods for discrimination of phenotypic properties of closely related gene products: Jun kinase family Methods Enzymol 1999 314: 342–362
Bost F, Potapova O, Liu C et al. High frequency regression of established human prostate carcinoma PC3 xenografts by systemic treatment with antisense JUN kinase Prostate 1999 38: 320
Gregory CW, Hamil KG, Kim D et al. Androgen receptor expression in androgen-independent prostate cancer is associated with increased expression of androgen-regulated genes Cancer Res 1998 58: 5718–5724
Agus DB, Scher HI, Higgins B et al. Response of prostate cancer to anti–Her-2/neu antibody in androgen-dependent and -independent human xenograft models Cancer Res 1999 59: 4761–4764
Agus DB, Cordon-Cardo C, Fox W et al. Prostate cancer cell cycle regulators: response to androgen withdrawal and development of androgen independence J Natl Cancer Inst 1999 91: 1869–1876
Acknowledgements
Financial support from Schering AG, Berlin, Germany and the Austrian Research Foundation (FWF SFB 002F203) are gratefully acknowledged. The authors thank G Hölzl, U Plawenn-Salvini, and A Tögel for excellent technical assistance.
Author information
Authors and Affiliations
Corresponding author
Rights and permissions
About this article
Cite this article
Eder, I., Hoffmann, J., Rogatsch, H. et al. Inhibition of LNCaP prostate tumor growth in vivo by an antisense oligonucleotide directed against the human androgen receptor. Cancer Gene Ther 9, 117–125 (2002). https://doi.org/10.1038/sj.cgt.7700416
Received:
Published:
Issue date:
DOI: https://doi.org/10.1038/sj.cgt.7700416
Keywords
This article is cited by
-
ARe we there yet? Understanding androgen receptor signaling in breast cancer
npj Breast Cancer (2020)
-
Antisense 2′-Deoxy, 2′-Fluoroarabino Nucleic Acid (2′F-ANA) Oligonucleotides: In Vitro Gymnotic Silencers of Gene Expression Whose Potency Is Enhanced by Fatty Acids
Molecular Therapy - Nucleic Acids (2012)
-
Differential androgen receptor signals in different cells explain why androgen-deprivation therapy of prostate cancer fails
Oncogene (2010)
-
Synthesis and in vitro characterization of ionone-based chalcones as novel antiandrogens effective against multiple clinically relevant androgen receptor mutants
Investigational New Drugs (2010)
-
The diverse and contrasting effects of using human prostate cancer cell lines to study androgen receptor roles in prostate cancer
Asian Journal of Andrology (2009)


