Abstract
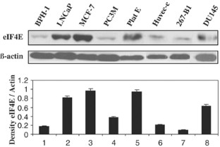
To develop a gene therapy that would selectively kill prostate cancer cells while sparing normal cells, we have constructed lentiviral vectors that contain a therapeutic gene with a short DNA sequence in the 5′-untranslated region (UTR) that is recognized by the translation initiation factor, eIF4E, which is often overexpressed in malignant cells. Infection of cancer (LNCaP, PC-3M, DU145, and MCF-7 cells) and noncancer cell lines (BPH-1, 267-B1, Plat-E, and Huvec-c cells) with lentivirus having a CMV-promoter and EGFP reporter resulted in high levels of EGFP expression in all cells, whereas, inclusion of the eIF4E UTR recognition sequence restricted high expression to cancer cells and Plat-E cells, which also express substantial levels of eIF4E. Infection of the cells with lentiviral vectors having this UTR in front of the HSV thymidine kinase suicide gene resulted in differential sensitivity to the killing effects of ganciclovir, with at least 100-fold more drug required to kill noncancer cells than cancer cells. Furthermore, in experiments where the CMV promoter was replaced by the prostate-specific ARR2PB promoter, the killing effects of ganciclovir were restricted to prostate cancer cells and not seen in nonprostate cancer cells. Our results indicate that combined translational regulation, by incorporation of an eIF4E-UTR recognition sequence into a therapeutic gene, together with transcriptional regulation with a prostate-specific promoter, may provide a means to selectively destroy prostate cancer cells while sparing normal prostate cells.
This is a preview of subscription content, access via your institution
Access options
Subscribe to this journal
Receive 12 print issues and online access
$259.00 per year
only $21.58 per issue
Buy this article
- Purchase on SpringerLink
- Instant access to the full article PDF.
USD 39.95
Prices may be subject to local taxes which are calculated during checkout







Similar content being viewed by others
References
Weir HK, Thun MJ, Hankey BF, Ries LA, Howe HL, Wingo PA et al. Annual report to the nation on the status of cancer, 1975–2000, featuring the uses of surveillance data for cancer prevention and control. J Natl Cancer Inst 2003; 95 (17): 1276–1299.
Trump D, Lau YK . Chemotherapy of prostate cancer: present and future. Curr Urol Rep 2003; 4 (3): 229–232.
Latham JP, Searle PF, Mautner V, James ND . Prostate-specific antigen promoter/enhancer driven gene therapy for prostate cancer: construction and testing of a tissue-specific adenovirus vector. Cancer Res 2000; 60 (2): 334–341.
Uchida A, O’Keefe DS, Bacich DJ, Molloy PL, Heston WD . In vivo suicide gene therapy model using a newly discovered prostate-specific membrane antigen promoter/enhancer: a potential alternative approach to androgen deprivation therapy. Urology 2001; 58 (2 Suppl 1): 132–139.
Yu D, Jia WW, Gleave ME, Nelson CC, Rennie PS . Prostate-tumor targeting of gene expression by lentiviral vectors containing elements of the probasin promoter. Prostate 2004; 59 (4): 370–382.
Wu L, Sato M . Integrated, molecular engineering approaches to develop prostate cancer gene therapy. Curr Gene Ther 2003; 3 (5): 452–467.
Herman JR, Adler HL, Aguilar-Cordova E, Rojas-Martinez A, Woo S, Timme TL et al. In situ gene therapy for adenocarcinoma of the prostate: a phase I clinical trial. Hum Gene Ther 1999; 10 (7): 1239–1249.
De Benedetti A, Graff JR . eIF-4E expression and its role in malignancies and metastases. Oncogene 2004; 23 (18): 3189–3199.
Kevil CG, De Benedetti A, Payne DK, Coe LL, Laroux FS, Alexander JS . Translational regulation of vascular permeability factor by eukaryotic initiation factor 4E: implications for tumor angiogenesis. Int J Cancer 1996; 65 (6): 785–790.
Kevil C, Carter P, Hu B, DeBenedetti A . Translational enhancement of FGF-2 by eIF-4 factors, and alternate utilization of CUG and AUG codons for translation initiation. Oncogene 1995; 11 (11): 2339–2348.
Jiang Y, Muschel RJ . Regulation of matrix metalloproteinase-9 (MMP-9) by translational efficiency in murine prostate carcinoma cells. Cancer Res 2002; 62 (6): 1910–1914.
Graff JR, Zimmer SG . Translational control and metastatic progression: enhanced activity of the mRNA cap-binding protein eIF-4E selectively enhances translation of metastasis-related mRNAs. Clin Exp Metastasis 2003; 20 (3): 265–273.
DeFatta RJ, Li Y, De Benedetti A . Selective killing of cancer cells based on translational control of a suicide gene. Cancer Gene Ther 2002; 9 (7): 573–578.
DeFatta RJ, Chervenak RP, De Benedetti A . A cancer gene therapy approach through translational control of a suicide gene. Cancer Gene Ther 2002; 9 (6): 505–512.
Li J, Yen C, Liaw D, Podsypanina K, Bose S, Wang SI et al. PTEN, a putative protein tyrosine phosphatase gene mutated in human brain, breast, and prostate cancer. Science 1997; 275 (5308): 1943–1947.
Rennie PS, Nelson CC . Epigenetic mechanisms for progression of prostate cancer. Cancer Metastasis Rev 1998; 17 (4): 401–409.
Ghosh PM, Malik S, Bedolla R, Kreisberg JI . Akt in prostate cancer: possible role in androgen-independence. Curr Drug Metab 2003; 4 (6): 487–496.
Zhang J, Thomas TZ, Kasper S, Matusik RJ . A small composite probasin promoter confers high levels of prostate-specific gene expression through regulation by androgens and glucocorticoids in vitro and in vivo. Endocrinology 2000; 141 (12): 4698–4710.
Morita S, Kojima T, Kitamura T . Plat-E: an efficient and stable system for transient packaging of retroviruses. Gene Ther 2000; 7 (12): 1063–1066.
Shimasaki S, Emoto N, Koba A, Mercado M, Shibata F, Cooksey K et al. Complementary DNA cloning and sequencing of rat ovarian basic fibroblast growth factor and tissue distribution study of its mRNA. Biochem Biophys Res Commun 1988; 157 (1): 256–263.
Yu D, Chen D, Chiu C, Razmazma B, Chow YH, Pang S . Prostate-specific targeting using PSA promoter-based lentiviral vectors. Cancer Gene Ther 2001; 8 (9): 628–635.
McKnight SL . The nucleotide sequence and transcript map of the herpes simplex virus thymidine kinase gene. Nucleic Acids Res 1980; 8 (24): 5949–5964.
Snoek R, Bruchovsky N, Kasper S, Matusik RJ, Gleave M, Sato N et al. Differential transactivation by the androgen receptor in prostate cancer cells. Prostate 1998; 36 (4): 256–263.
Talaat AM, Howard ST, Hale Wt, Lyons R, Garner H, Johnston SA . Genomic DNA standards for gene expression profiling in Mycobacterium tuberculosis. Nucleic Acids Res 2002; 30 (20): e104.
Nasu Y, Kusaka N, Saika T, Tsushima T, Kumon H . Suicide gene therapy for urogenital cancer: current outcome and prospects. Mol Urol 2000; 4 (2): 67–71.
Klotz L . Hormone therapy for patients with prostate carcinoma. Cancer 2000; 88 (12 Suppl): 3009–3014.
Timme TL, Satoh T, Tahir SA, Wang H, Teh BS, Butler EB et al. Therapeutic targets for metastatic prostate cancer. Curr Drug Targets 2003; 4 (3): 251–261.
Rhoads RE, Joshi-Barve S, Rinker-Schaeffer C . Mechanism of action and regulation of protein synthesis initiation factor 4E: effects on mRNA discrimination, cellular growth rate, and oncogenesis. Prog Nucleic Acid Res Mol Biol 1993; 46: 183–219.
Abid MR, Li Y, Anthony C, De Benedetti A . Translational regulation of ribonucleotide reductase by eukaryotic initiation factor 4E links protein synthesis to the control of DNA replication. J Biol Chem 1999; 274 (50): 35991–35998.
Pelletier J, Sonenberg N . The involvement of mRNA secondary structure in protein synthesis. Biochem Cell Biol 1987; 65 (6): 576–581.
Lazaris-Karatzas A, Montine KS, Sonenberg N . Malignant transformation by a eukaryotic initiation factor subunit that binds to mRNA 5′ cap. Nature 1990; 345 (6275): 544–547.
Fingar DC, Blenis J . Target of rapamycin (TOR): an integrator of nutrient and growth factor signals and coordinator of cell growth and cell cycle progression. Oncogene 2004; 23 (18): 3151–3171.
Rinker-Schaeffer CW, Graff JR, De Benedetti A, Zimmer SG, Rhoads RE . Decreasing the level of translation initiation factor 4E with antisense RNA causes reversal of ras-mediated transformation and tumorigenesis of cloned rat embryo fibroblasts. Int J Cancer 1993; 55 (5): 841–847.
Abuzallouf S, Dayes I, Lukka H . Baseline staging of newly diagnosed prostate cancer: a summary of the literature. J Urol 2004; 171 (6 Part 1): 2122–2127.
Oldfield EH, Ram Z, Culver KW, Blaese RM, DeVroom HL, Anderson WF . Gene therapy for the treatment of brain tumors using intra-tumoral transduction with the thymidine kinase gene and intravenous ganciclovir. Hum Gene Ther 1993; 4 (1): 39–69.
Moolten FL . Tumor chemosensitivity conferred by inserted herpes thymidine kinase genes: paradigm for a prospective cancer control strategy. Cancer Res 1986; 46 (10): 5276–5281.
Mucci NR, Rubin MA, Strawderman MS, Montie JE, Smith DC, Pienta KJ . Expression of nuclear antigen Ki-67 in prostate cancer needle biopsy and radical prostatectomy specimens. J Natl Cancer Inst 2000; 92 (23): 1941–1942.
Naldini L, Blomer U, Gallay P, Ory D, Mulligan R, Gage FH et al. In vivo gene delivery and stable transduction of nondividing cells by a lentiviral vector. Science 1996; 272 (5259): 263–267.
Taplin ME, Balk SP . Androgen receptor: a key molecule in the progression of prostate cancer to hormone independence. J Cell Biochem 2004; 91 (3): 483–490.
Acknowledgements
This research was supported by grants from the Terry Fox Foundation/National Cancer Institute of Canada. DY was supported in part by a Canadian Prostate Cancer Research Initiative Training Centre award and CCN was supported by a scholarship from the Michael Smith Foundation for Health Research. We thank Mr Robert Bell, Head of Bioinformatics at the Prostate Centre, for help with the statistical analyses.
Author information
Authors and Affiliations
Corresponding author
Rights and permissions
About this article
Cite this article
Yu, D., Scott, C., Jia, W. et al. Targeting and killing of prostate cancer cells using lentiviral constructs containing a sequence recognized by translation factor eIF4E and a prostate-specific promoter. Cancer Gene Ther 13, 32–43 (2006). https://doi.org/10.1038/sj.cgt.7700885
Received:
Revised:
Accepted:
Published:
Issue date:
DOI: https://doi.org/10.1038/sj.cgt.7700885
Keywords
This article is cited by
-
Fibroblast growth factor and ornithine decarboxylase 5′UTRs enable preferential expression in human prostate cancer cells and in prostate tumors of PTEN−/− transgenic mice
Cancer Gene Therapy (2012)
-
Transcriptional and Translational Dual-regulated Oncolytic Herpes Simplex Virus Type 1 for Targeting Prostate Tumors
Molecular Therapy (2010)
-
An HSV-1 amplicon system for prostate-specific expression of ICP4 to complement oncolytic viral replication for in vitro and in vivo treatment of prostate cancer cells
Cancer Gene Therapy (2007)
-
Mechanisms of translational deregulation in human tumors and therapeutic intervention strategies
Oncogene (2007)
-
Carboxypeptidase G2-based gene-directed enzyme–prodrug therapy: a new weapon in the GDEPT armoury
Nature Reviews Cancer (2007)


