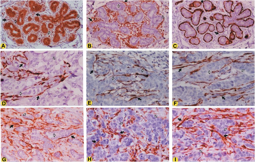
Figure 1

Immunohistochemical localisation of GSTPi, vimentin or α-SMA in benign breast and breast cancer tissue biopsy specimens. Sections (4 μm thick) of FFPE biopsy specimens of benign breast and a paired case of primary invasive breast cancer and corresponding metastasis to axillary lymph node were immunohistochemically stained with mouse monoclonal antibody to GSTPi, vimentin or α-SMA. The anti-GSTPi antibody exhibited homogeneous cytoplasmic brown staining of the benign breast ductal and acini luminal epithelial cells, myoepithelial cells and surrounding fibroblasts (brown staining indicated by opened arrows for epithelial/myoepithelial cells and closed arrows for fibroblasts, A). Anti-vimentin antibody showed a homogeneous cytoplasmic brown staining of fibroblasts (indicated by closed arrows, B), but not with epithelial cells (indicated by opened arrows, B). Anti-α-SMA antibody exhibited no detectable reactivity with surrounding fibroblasts (indicated by closed arrows, C), and luminal epithelial cells (indicated by opened arrows, C), whereas homogeneous reactivity was observed with myoepithelial cells in benign breast (indicated by brown staining of outmost layer of cells, C). Both primary and axillary lymph node metastatic breast cancer cells showed no detectable reactivity with anti-GSTPi antibody (absence of brown staining indicated by opened arrows; D and G, respectively), whereas the tumour microenvironment-derived fibroblasts exhibited homogeneous reactivity (brown staining indicated by closed arrows; D and G, respectively). Anti-vimentin antibody exhibited homogeneous cytoplasmic brown staining of tumour microenvironment-derived fibroblasts at both primary and lymph node metastasis sites (indicated by closed arrows; E and H, respectively), but not with the cancer cells (absence of brown staining indicated by opened arrow; E and H, respectively). A similar pattern of reactivity of anti-SMA antibody was observed with fibroblast at both the primary (indicated by closed arrows, F) and lymph node metastasis site (indicated by closed arrow, I), whereas the cancer cells were negative (indicated by opened arrows, F and I). The sections were counterstained with Harris’ s hematoxylin (blue nuclear staining). Original magnification, × 150 (A–C) and × 312 (D–I).