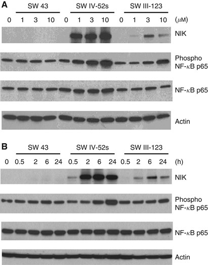
Figure 4

SW IV-52s and SW III-123 induced NF- κ B activation. (A) SKOV-3 cells were treated with 0, 1, 3 and 10 μ M SW 43, SW IV-52s or SW III-123 for 24 h. The whole-cell lysates were analysed by western blot. (B) SKOV-3 cells were treated with 3 μ M of SW 43, SW IV-52s or SW III-123 for indicated time. The whole-cell lysates were analysed by western blot.