Figure 1
From: Tumour budding with and without admixed inflammation: two different sides of the same coin?

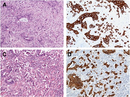
Tumour budding, defined as the presence of isolated single cells or small clusters of cells (composed of fewer than five cells), in a case with no increase of inflammatory cells at the invasive tumour margin, illustrated in serial sections stained with haematoxylin and eosin ( A ; original Ă— 100) and anti-cytokeratin immunohistochemistry ( B ; original Ă— 100). Marked peritumoural inflammation, leading to the presence of isolated cancer cells due to destruction of invading cancer cell islets, is shown in serial sections stained with haematoxylin and eosin (C; original Ă— 100) and anti-cytokeratin immunohistochemistry (D; original Ă— 100).