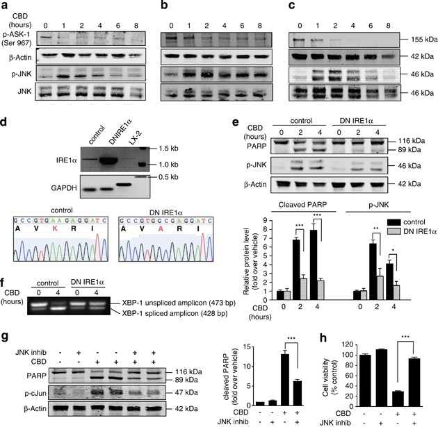
Figure 5

CBD-induced cell death is mediated by the IRE1/ASK1/JNK pathway. Expression levels of phospho-ASK1, phospho-JNK, and JNK were determined by western blot analysis in (a) LX-2 cells, (b) HSCs from ethanol-fed rats, and (c) primary mouse in vivo-activated HSCs, following incubation in serum-free media with 5 μM CBD for 0–8 h. (d) Expression of DN IRE1α in JS1 cells (mouse activated HSCs) was assessed by RT-PCR using primers specific for the mouse and human IRE1α. Wild-type JS1 and LX-2 cells were used as controls. Gel-purified PCR products were sequenced to confirm presence of the mutated IRE1α (K599A DN IRE1α). (e) JS1 cells expressing DN IRE1α were treated with 5 μM CBD in serum-free media for 0–4 h. Expression of PARP and phospho-JNK was determined by western blot analysis and is presented as fold over vehicle±S.E.M. for either control or DN IRE1α-expressing JS-1 cells, n=three independent experiments. (f) JS1 cells expressing DN IRE1α were treated with CBD as in (e), and then harvested for total RNA isolation and RT-PCR with XBP1-specific primers. Spliced XBP1 was detected by agarose gel electrophoresis. (g) LX-2 cells were treated with CBD as in (a) in the presence or absence of 10 μM JNK inhibitor for 4 h. Western blot analysis was used to determine PARP and phospho-c-Jun expression. Cleaved PARP is expressed as fold over control±S.E.M. for n=four independent experiments. (h) LX-2 cells were treated with CBD in the presence or absence of JNK inhibitor as in (g) for 8 h. Cell viability was determined using an acid phosphatase assay and is expressed as mean±S.E.M. of triplicate experiments. ***P<0.001; **P<0.01; *P<0.05