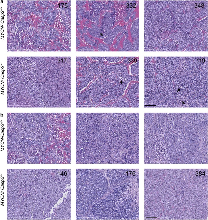
Figure 2

Histopathology of TH-MYCN/Casp2−/− neuroblastomas. Representative images ( × 40) of hematoxylin and eosin stained (a) abdominal tumors and (b) thoracic tumors, from TH-MYCN/Casp2+/+ and TH-MYCN/Casp2−/− mice. Three different tumor samples for each genotype are shown, with numbers indicating animal number. Arrows highlight tangible body macrophages. Scale bar represents 50 μm