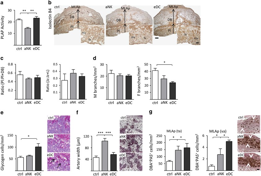
Figure 2

Manipulation of the relative NK cell–DC abundance during early pregnancy alters placental development and function. (a) NK cell depletion alters placental function, as noted by decreased placental alkaline phosphatase (PLAP) activity on E10.5 with respect to control and eDC mice. (b) Histological analysis of Isolectin B4 (IB4) stained uterine sections obtained during E10.5. DB, decidua basalis; Jz, junctional zone; MLAp, mesometrial lymphoid aggregate of pregnancy; PI, placenta. (c) Placental depth related to the decidua (as noted by the PI:PI+DB ratio) and the fractional area occupied by the Jz were similar in all groups analyzed. (d) Left panel; density of maternal vascular (IB4−). Right panel: fetal vascular density of labyrinth, as noted by the presence of IB4+ vessels. (e) Representative examples of E10.5 uterine sections stained with PAS. Arrows highlight glycogen vacuolated cells associated with the Jz. (f) Spiral artery remodeling, as analyzed on trichrome-stained sections on E10.5. Insets show that spiral arteries in dNK mice remain undilated, as noted by artery width (μm). (g) Accumulation of mature NK cells (PAS+DBA+) in the MLAp. Number of both tissue- (ta) and vascular-associated (va) NK cells was significantly increased in dNK and eDC mice with respect to control females. In all figures, data shown are mean±S.E.M. derived from six to eight mice per group and significant difference are noted as *P<0.0 and ***P<0.001 according to the Mann–Whitney U-test. Scale bars=100 and 50 μm