Abstract
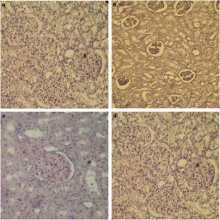
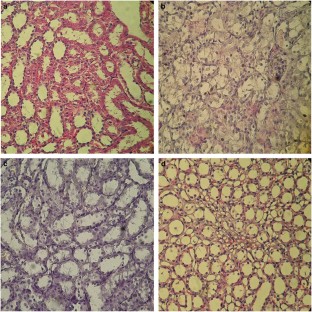
Cisplatin is frequently being used for the treatment of different tumors, although the application of this agent is associated with nephrotoxicity. Here, we explored the antioxidant and anti-inflammatory activities of Physalis alkekengi and Alhagi maurorum; 400 mg kg−1 per day P. alkekengi and 100 mg kg−1 per day A. maurorum were administered in rats, orally for 10 days after a single dose of 7 mg kg−1 intraperitoneal cisplatin. The concentrations of creatinine, urea-nitrogen, and relative and absolute excretion of sodium/potassium were evaluated before/after therapy. Levels of malondialdehyde (MDA) and ferric-reducing antioxidant power (FRAP) were measured to assess the oxidative stress induced by cisplatin. Moreover, tissues sections were used for histological analyses and evaluation of the degree of tissue damage. Cisplatin increased serum levels of creatinine and urea-nitrogen, relative/absolute excretion of sodium/potassium, and MDA, whereas decreased FRAP level. Interestingly, P. alkekengi or A. maurorum were able to reduce the level of the renal function markers as well as the levels of sodium/potassium. This effect was more pronounced by P. alkekengi. Moreover, cisplatin induced pathological damage in kidney, whereas treatment with these agents improved this condition. Our findings demonstrate the potential therapeutic impact of P. alkekengi and A. maurorum for improving cisplatin-induced nephrotoxicity, supporting further investigations on the novel potential clinical application of these agents for patients being treated with cisplatin to ameliorate cisplatin-induced nephrotoxicity.
This is a preview of subscription content, access via your institution
Access options
Subscribe to this journal
Receive 12 print issues and online access
$259.00 per year
only $21.58 per issue
Buy this article
- Purchase on SpringerLink
- Instant access to the full article PDF.
USD 39.95
Prices may be subject to local taxes which are calculated during checkout




Similar content being viewed by others
References
Hartmann JT, Fels LM, Knop S, Stolt H, Kanz L, Bokemeyer C . A randomized trial comparing the nephrotoxicity of cisplatin/ifosfamide-based combination chemotherapy with or without amifostine in patients with solid tumors. Invest New Drugs 2000; 18: 281–289.
Hartmann JT, Lipp HP . Toxicity of platinum compounds. Expert Opin Pharmacother 2003; 4: 889–901.
Sastry J, Kellie SJ . Severe neurotoxicity, ototoxicity and nephrotoxicity following high-dose cisplatin and amifostine. Pediatr Hematol Oncol 2005; 22: 441–445.
Arany I, Safirstein RL . Cisplatin nephrotoxicity. Semin Nephrol 2003; 23: 460–464.
Boulikas T . Poly (ADP-ribose) synthesis in blocked and damaged cells and its relation to carcinogens. Anticancer Res 1992; 12: 885–898.
Saad SY, Arafah MM, Najjar TA . Effects of mycophenolate mofetil on cisplatin-induced renal dysfunction in rats. Cancer Chemother Pharmacol 2007; 59: 455–460.
Miller RP, Tadagavadi RK, Ramesh G, Reeves WB . Mechanisms of Cisplatin Nephrotoxicity. Toxins 2010; 2: 2490–2518.
Kuhad A, Pilkhwal S, Sharma S, Tirkey N, Chopra K . Effect of curcumin on inflammation and oxidative stress in cisplatin induced experimental nephrotoxicity. J Agric Food Chem 2007; 12: 10150–10155.
Ramesh G, Reeves WB . TNF-R mediates chemokine and cytokine expression and renal injury in cisplatin nephrotoxicity. J Clin Invest 2002; 110: 835–842.
Baek S, Kwon C, Kim J, Woo J, Jung J, Kim Y . Differential roles of hydrogen peroxides and hydroxyl radical in cisplatin induced cell death in renal proximal tubular epithelial cells. J Lab Clin Med 2003; 142: 178–186.
Ge Y, Duan Y, Fang G, Zhang Y, Wang S . Study on biological activities of Physalis alkekengi var. francheti polysaccharide. J Sci Food Agric 2009; 89: 1593–1598.
Hoshani M, Aghdasi M . Inhibition effects of Physalis alkekengi extract on xanthine oxidase activity in different phenological stages. Clin biochem 2011; 8: 854.
Ji L, Yuan Y, Luo L, Chen Z, Ma X, Ma Z et al. Physalins with anti-inflammatory activity are present in Physalis alkekengi var. franchetii and can function as Michael reaction acceptors. Steroids 2012; 77: 441–447.
Chedea VS, Pintea A, Bunea A, Braicu C, Stanila A, Socaciu C . Physalis alkekengi carotenoidic extract inhibitor of soybean lipoxygenase-1 activity. BioMed Research Int 2014; 2014: 589168.
Kang H, Kwon SR, Choi HY . Inhibitory effect of Physalis alkekengi L. var. franchetii extract and its chloroform fraction on LPS or LPS/IFN-γ-stimulated inflammatory response in peritoneal macrophages. J Ethnopharmacology 2011; 135: 95–101.
Ahmad S, Riaz N, Saleem M, Jabbar A, Nisar-Ur-Rehman, Ashraf M . Antioxidant flavonoids from Alhagi maurorum. J Asian Nat Prod Res 2010 Feb; 12: 138–143.
Awaad AS, El-meligy RM . Anti-inflammatory, antinociceptive and antipyretic effects of some desert plants. J Saudi Chem Soc 2011; 15: 367–373.
Laghari AH, Memon S, Nelofar A, Khan KM . Alhagi maurorum: a convenient source of lupeol. Industrial Crops Products 2011; 34: 1141–1145.
Shaker E, Mahmoud H, Mnaa S . Anti-inflammatory and anti-ulcer activity of the extract from Alhagi maurorum (camelthorn). Food Chem Toxicol 2010; 48: 2785–2790.
Muhammad G, Hussain MA, Anwar F, Ashraf M, Gilani AH . Alhagi: a plant genus rich in bioactives for pharmaceuticals. Phytother Res 2015; 29: 1–13.
Ohkawa H, Ohishi N, Yagi K . Assay for lipid peroxides in animal tissues by thiobarbituric acid reaction. Anal Biochem 1979; 95: 351–358.
Benzie IF, Strain JJ . Ferric reducing/antioxidant power assay: direct measure of total antioxidant activity of biological fluids and modified version for simultaneous measurement of total antioxidant power and ascorbic acid concentration. Methods Enzymol 1999; 299: 15–27.
Changizi Ashtiyani S, Najafi H, Jalalvandi S, Hosseinei F . Protective effects of Rosa canina L fruit extracts on renal disturbances induced by reperfusion injury in rats. Iran J Kidney Dis 2013; 7: 290–298.
Najafi H, Firouzifar MR, Shafaat O, Changizi Ashtiyani S, Hosseini N . Protective effects of Tribulus terrestris L extract against acute kidney injury induced by reperfusion injury in rats. Iran J Kidney Dis 2014; 8: 292–298.
Schwartz MM, Lan SP, Bernstein J, Hill GS, Holley K, Lewis EJ . Irreproducibility of the activity and chronicity indices limits their utility in the management of lupus nephritis. Am J Kidney Dis 1993; 21: 374–377.
Strenberg SS . Diagnostic Surgical Pathology, 3rd edn. Lippincott Williams & Wilkins, 1996, pp 1701–1785.
Sugiyama S . Adverse effects of antitumor drug cisplatin on rat kidney mitochondria: disturbances in glutathione peroxidase activity. Biochem Biophys Res Commun 1989; 159: 1121–1127.
Daugaard C, Abildgaard U . Cisplatin nephrotoxicity. Cancer Chemother Pharmacol 1989; 25: 1.
Somani SM, Husain K, Whitworth C, Trammel GL, Malafa M, Rybak LP . Dose-dependent protection by lipoic acid against cisplatin induced nephrotoxicity in rats: antioxidant defense system. Pharmacol Toxicol 2000; 86: 234–241.
Aydogan S, Yapislar H, Artis S, Aydogan B . Impaired erythrocytes deformability in H(2)O(2)-induced oxidative stress: protective effect of L-carnosine. Clin Hemorheol Microcirc 2008; 39: 93–98.
Naziroglu M, Karaoglu A, Aksoy AO . Selenium and high dose Vitamin E administration protects cisplatin-induced oxidative damage to renal, liver and lens tissues in rats. Toxicol 2004; 195: 221–230.
Saad SY, Al-Rikabi AC . Protection effects of taurine supplementation against cisplatin-induced nephrotoxicity in rats. Chemotherapy 2002; 48: 42–48.
Borrego A, Zamora ZB, Gonzalez R, Romay C, Menendez S, Hernandez F et al. Protection by ozone preconditioning is mediated by the antioxidant system in cisplatin-induced nephrotoxicity in rats. Mediators Inflamm 2004; 13: 13–19.
Gonzalez R, Borrego A, Zamora Z, Romay C, Hernandez F, Menendez S et al. Reversion by ozone treatment of acute nephrotoxicity induced by cisplatin in rats. Mediators Inflamm 2004; 13: 307–312.
De Martinis BS, Bianchi MD . Effect of Vitamin C supplementation against cisplatin-induced toxicity and oxidative DNA damage in rats. Pharmacol Res 2001; 44: 317–320.
Davis CA, Nick HS, Agarwal A . Manganese superoxide dismutase attenuates cisplatin-induced renal injury: importance of superoxide. J Am Soc Nephrol 2001; 12: 2683–2690.
Srivastava R, Farookh A, Ahmad N, Misra M, Hasan S, Husain M . Evidence for involvement of nitric oxide in cisplatin induced toxicity in rats. Biometals 1996; 9: 139–142.
Yildirim Z, Sogut S, Odaci E, Iraz M, Ozyurt H, Kotuk M et al. Oral erdosteine administration attenuates cisplatin-induced renal tubular damage in rats. Pharmacol Res 2003; 47: 149–156.
Ozen S, Akyol O, Iraz M, Sogut S, Ozugurlu F, Ozyurt H et al. Role of caffeic acid phenethyl ester, an active component of propolis, against cisplatin-induced nephrotoxicity in rats. J Appl Toxicol 2004; 24: 27–35.
Mora Lde O, Antunes LM, Francescato HD, Bianchi Mde L . The effects of oral glutamine on cisplatin-induced nephrotoxicity in rats. Pharmacol Res 2003; 47: 517–522.
Ludwig T, Riethmuller C, Gekle M, Schwerdt G, Oberleithner H . Nephrotoxicity of platinum complexes is related to basolateral organic cation transport. Kidney Int 2004; 66: 196–202.
Ciarimboli G, Ludwig T, Lang D, Pavenstadt H, Koepsell H, Piechota HJ et al. Cisplatin nephrotoxicity is critically mediated via the human organic cation transporter 2. Am J Pathol 2005; 167: 1477–1484.
Filipski KK, Loos WJ, Verweij J, Sparreboom A . Interaction of cisplatin with the human organic cation transporter 2. Clin Cancer Res 2008; 14: 3875–3880.
Ishida S, Lee J, Thiele DJ, Herskowitz I . Uptake of the anticancer drug cisplatin mediated by the copper transporter Ctr1 in yeast and mammals. Proc Natl Acad Sci USA 2002; 99: 14298–14302.
Laghari AH, Ali Memon A, Memon S, Nelofar A, Khan KM, Yasmin A . Determination of free phenolic acids and antioxidant capacity of methanolic extracts obtained from leaves and flowers of camel thorn (Alhagi maurorum). Nat Prod Res 2012; 26: 173–176.
Laghari AH, Memon S, Nelofar A, Khan KM, Yasmin A, Syed MN et al. A new flavanenol with urease-inhibition activity isolated from roots of manna plant camelthorn (Alhagi maurorum). J Mol Structure 2010; 965: 65–67.
Acknowledgements
This paper is based on the results of research project No. 994 approved by the research deputy of Arak University of Medical Sciences. We wish to thank them for their financial support. This work was supported by a grant from Arak University of Medical Sciences.
Author contributions
Saeed Changizi-Ashtiyani, Mostafa Alizadeh, Houshang Najafi, Saeed Babaei, Mahdi Khazaei, Mostafa Jafari and Nasser Hossaini conceived, designed, contributed reagents, performed the experiments and analyzed the data. Saeed Changizi Ashtyani, Mostafa Alizadeh, Houshang Najafi, Saeed Babaei, Mahdi Khazaei, Mostafa Jafari, Nasser Hossaini, Amir Avan and Bahar Bastani contributed in writing of the manuscript.
Author information
Authors and Affiliations
Corresponding author
Ethics declarations
Competing interests
The authors declare no conflict of interest.
Rights and permissions
About this article
Cite this article
Changizi-Ashtiyani, S., Alizadeh, M., Najafi, H. et al. Physalis alkekengi and Alhagi maurorum ameliorate the side effect of cisplatin-induced nephrotoxicity. Cancer Gene Ther 23, 235–240 (2016). https://doi.org/10.1038/cgt.2016.24
Received:
Accepted:
Published:
Issue date:
DOI: https://doi.org/10.1038/cgt.2016.24
This article is cited by
-
Mangiferin attenuates cisplatin-induced acute kidney injury in rats mediating modulation of MAPK pathway
Molecular and Cellular Biochemistry (2019)
-
Alkékenge : Physalis alkekengi L. (Solanaceae)
Phytothérapie (2017)


