Abstract
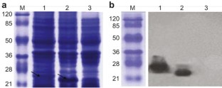
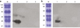
Epstein–Barr virus (EBV) is prevalent throughout the world and is associated with several malignant diseases in humans. Latent membrane protein 2 (LMP2) of EBV plays a crucial role in the pathogenesis of EBV-associated tumors; therefore, LMP2 has been considered to be a potential immunodiagnostic and immunotherapeutic target. A multi-epitope-based antigen is a promising option for therapeutic vaccines and diagnoses of such malignancies. In this study, we systematically screened cytotoxic T lymphocyte (CTL), helper T cell (Th) and B-cell epitopes within EBV-LMP2 using bioinformatics. Based on the screen, two peptides rich in overlapping epitopes of both T cells and B cells were selected to construct a plasmid containing the sequence for a chimeric multi-epitope protein referred to as EBV-LMP2m, which is composed of LMP2aa195∼232 and LMP2aa419∼436. The EBV-LMP2m protein was expressed in E. coli BL21 (DE3) after prokaryotic codon optimization. Inoculation of the purified chimeric antigen in BALB/c mice induced not only high levels of specific IgG in the serum and secretory IgA in the vaginal mucus but also a specific CTL response. By using purified EBV-LMP2m as an antigen, the presence of specific IgG in the serum specimens of 202 nasopharyngeal carcinoma (NPC) patients was effectively detected with 52.84% sensitivity and 95.40% specificity, which represents an improvement over the traditional detection method based on VCA-IgA (60.53% sensitivity and 76.86% specificity). The above results indicate that EBV-LMP2m may be used not only as a potential target antigen for EBV-associated tumors but also a diagnostic agent for NPC patients.
This is a preview of subscription content, access via your institution
Access options
Subscribe to this journal
Receive 12 digital issues and online access to articles
$119.00 per year
only $9.92 per issue
Buy this article
- Purchase on SpringerLink
- Instant access to the full article PDF.
USD 39.95
Prices may be subject to local taxes which are calculated during checkout







Similar content being viewed by others
References
Rickinson AB, Lane PJ . Epstein-Barr virus: co-opting B-cell memory and migration . Curr Biol 10 February 2000 ; 10 : R120 – R123.
Sasagawa T, Shimakage M, Nakamura M, Sakaike J, Ishikawa H, Inoue M . Epstein-Barr virus (EBV) genes expression in cervical intraepithelial neoplasia and invasive cervical cancer: a comparative study with human papillomavirus (HPV) infection . Hum Pathol 2000 ; 31 : 318 – 326.
Oh ST, Seo JS, Moon UY, Kang KH, Shin DJ, Yoon SK et al . A naturally derived gastric cancer cell line shows latency I Epstein-Barr virus infection closely resembling EBV-associated gastric cancer . Virology 2004 ; 320 : 330 – 336.
Sairenji T, Tajima M, Kanamori M, Takasaka N, Gao X, Murakami M et al . Characterization of EBV-infected epithelial cell lines from gastric cancer-bearing tissues . Curr Top Microbiol Immunol 2001 ; 258 : 185 – 198.
Xiao YP, Han CB, Mao XY, Li JY, Xu L, Ren CS et al . Relationship between abnormality of FHIT gene and EBV infection in gastric cancer . World J Gastroenterol 2005 ; 11 : 3212 – 3216.
Hillinger S, Yang SC, Zhu L, Huang M, Duckett R, Atianzar K et al . EBV-induced molecule 1 ligand chemokine (ELC/CCL19) promotes IFN-gamma-dependent antitumor responses in a lung cancer model . J Immunol 2003 ; 171 : 6457 – 6465.
Arbach H, Viglasky V, Lefeu F, Guinebretière JM, Ramirez V, Bride N et al . Epstein-Barr virus (EBV) genome and expression in breast cancer tissue: effect of EBV infection of breast cancer cells on resistance to paclitaxel (Taxol) . J Virol 2006 ; 80 : 845 – 853.
Deshpande CG, Badve S, Kidwai N, Longnecker R . Lack of expression of the Epstein-Barr Virus (EBV) gene products, EBERs, EBNA1, LMP1, and LMP2A, in breast cancer cells . Lab Invest 2002 ; 82 : 1193 – 1199.
Hu B, Hong G, Li Z, Xu J, Zhu Z, Li L . Expression of VCA (viral capsid antigen) and EBNA1 (Epstein-Barr-virus-encoded nuclear antigen 1) genes of Epstein-Barr virus in Pichia pastoris and application of the products in a screening test for patients with nasopharyngeal carcinoma . Biotechnol Appl Biochem 2007 ; 47 ( Pt 1 ): 59 – 69.
Li J, Zhang XS, Xie D, Deng HX, Gao YF, Chen QY et al . Expression of immune-related molecules in primary EBV-positive Chinese nasopharyngeal carcinoma: associated with latent membrane protein 1 (LMP1) expression . Cancer Biol Ther 2007 ; 6 : 1997 – 2004.
Li JH, Chia M, Shi W, Ngo D, Strathdee CA, Huang D et al . Tumor-targeted gene therapy for nasopharyngeal carcinoma . Cancer Res 2002 ; 62 : 171 – 178.
Farwell DG, McDougall JK, Coltrera MD . Expression of Epstein-Barr virus latent membrane proteins leads to changes in keratinocyte cell adhesion . Ann Otol Rhinol Laryngol 1999 ; 108 : 851 – 859.
Longnecker R . Epstein-Barr virus latency: LMP2, a regulator or means for Epstein-Barr virus persistence? Adv Cancer Res 2000 ; 79 : 175 – 200.
Sutkowski N, Chen G, Calderon G, Huber BT . Epstein-Barr virus latent membrane protein LMP-2A is sufficient for transactivation of the human endogenous retrovirus HERV-K18 superantigen . J Virol 2004 ; 78 : 7852 – 7860.
Zhang L, Pagano JS . Interferon regulatory factor 7: a key cellular mediator of LMP-1 in EBV latency and transformation . Semin Cancer Biol 2001 ; 11 : 445 – 453.
Pang MF, Lin KW, Peh SC . The signaling pathways of Epstein-Barr virus-encoded latent membrane protein 2A (LMP2A) in latency and cancer . Cell Mol Biol Lett 2009 ; 14 : 222 – 247.
Lynch DT, Zimmerman JS, Rowe DT . Epstein-Barr virus latent membrane protein 2B (LMP2B) co-localizes with LMP2A in perinuclear regions in transiently transfected cells . J Gen Virol 2002 ; 83 ( Pt 5 ): 1025 – 1035.
Allen MD, Young LS, Dawson CW . The Epstein-Barr virus-encoded LMP2A and LMP2B proteins promote epithelial cell spreading and motility . J Virol 2005 ; 79 : 1789 – 1802.
Paul S, Piontkivska H . Discovery of novel targets for multi-epitope vaccines: screening of HIV-1 genomes using association rule mining . Retrovirol 2009 ; 6 : 62.
Depil S, Moralès O, Castelli FA, Delhem N, François V, Georges B et al . Determination of a HLA II promiscuous peptide cocktail as potential vaccine against EBV latency II malignancies . J Immunother 2007 ; 30 : 215 – 226.
Lalonde A, Avila-Cariño J, Caruso M, de Campos-Lima PO . Rescue of the immunotherapeutic potential of a novel T cell epitope in the Epstein-Barr virus latent membrane protein 2 . Virology 2007 ; 361 : 253 – 262.
Straathof KC, Leen AM, Buza EL, Taylor G, Huls MH, Heslop HE et al . Characterization of latent membrane protein 2 specificity in CTL lines from patients with EBV-positive nasopharyngeal carcinoma and lymphoma . J Immunol 2005 ; 175 : 4137 – 4147.
Wang B, Yao K, Liu G, Xie F, Zhou F, Chen Y . Computational prediction and identification of Epstein-Barr virus latent membrane protein 2A antigen-specific CD8+ T-cell epitopes . Cell Mol Immunol 2009 ; 6 : 97 – 103.
Xue X1, Zhu S, Li W, Chen J, Ou Q, Zheng M et al . Identification and characterization of novel B-cell epitopes within EBV latentmembrane protein 2 (LMP2) . Viral Immunol 2011 ; 24 : 227 – 236.
Li W1, Chen Q, Chen H, Rao P, Xue X, Chen S et al . Immune response of mice to a latency membrane protein 2 multiepitope antigen of Epstein-Barr virus applied as DNA vaccine and/or peptide vaccine . Acta Virol 2013 ; 57 : 51 – 58.
Lennette ET, Ward E, Henle G, Henle W et al . Detection of antibodies to Epstein-Barr virus capsid antigen by immune adherence hemagglutination . J Clin Microbiol 1982 ; 15 : 69 – 73.
Shao DH, Feng XG . Prediction for helper T cell epitopes and its application in vaccine development against parasite infection . Zhongguo Ji Sheng Chong Xue Yu Ji Sheng Chong Bing Za Zhi 2008 ; 26 : 228 – 233.
Freund NT, Enshell-Seijffers D, Gershoni JM . Phage display selection, analysis, and prediction of B cell epitopes . Curr Protoc Immunol 2009 ; Chapter 9 : Unit 9.8.
Reimer U . Prediction of linear B-cell epitopes . Methods Mol Biol 2009 ; 524 : 335 – 344.
Saha S, Raghava GP . Prediction methods for B-cell epitopes . Methods Mol Biol 2007 ; 409 : 387 – 394.
Geourjon C, Deléage G . SOPMA: significant improvements in protein secondary structure prediction by consensus prediction from multiple alignments . Comput Appl Biosci 1995 ; 11 : 681 – 684.
Garnier J, Gibrat JF, Robson B . GOR method for predicting protein secondary structure from amino acid sequence . Methods Enzymol 1996 ; 266 : 540 – 553.
Hirokawa T, Boon-Chieng S, Mitaku S . SOSUI: classification and secondary structure prediction system for membrane proteins . Bioinformatics 1998 ; 14 : 378 – 379.
Hopp TP, Woods KR . Prediction of protein antigenic determinants from amino acid sequences . Proc Natl Acad Sci U S A 1981 ; 78 : 3824 – 3828.
Zimmerman JM, Eliezer N, Simha R . The characterization of amino acid sequences in proteins by statistical methods . J Theor Biol 1968 ; 21 : 170 – 201.
Jameson BA, Wolf H . The antigenic index: a novel algorithm for predicting antigenic determinants . Comput Appl Biosci 1988 ; 4 : 181 – 186.
Kolaskar AS, Tongaonkar PC . A semi-empirical method for prediction of antigenic determinants on protein antigens . FEBS Lett 1990 ; 276 : 172 – 174.
Ito Y, Kondo E, Demachi-Okamura A, Akatsuka Y, Tsujimura K, Tanimoto M et al . Three immunoproteasome-associated subunits cooperatively generate a cytotoxic T-lymphocyte epitope of Epstein-Barr virus LMP2A by overcoming specific structures resistant to epitope liberation . J Virol 2006 ; 80 : 883 – 890.
Lee SP, Tierney RJ, Thomas WA, Brooks JM, Rickinson AB . Conserved CTL epitopes within EBV latent membrane protein 2: a potential target for CTL-based tumor therapy . J Immunol 1997 ; 158 : 3325 – 3334.
Marastoni M, Bazzaro M, Gavioli R, Micheletti F, Traniello S, Tomatis R . Design of dimeric peptides obtained from a subdominant Epstein-Barr virus LMP2-derived epitope . Eur J Med Chem 2000 ; 35 : 593 – 598.
Carter JJ, Wipf GC, Hagensee ME, McKnight B, Habel LA, Lee SK et al . Use of human papillomavirus type 6 capsids to detect antibodies in people with genital warts . J Infect Dis 1995 ; 172 : 11 – 18.
Heim K, Christensen ND, Hoepfl R, Wartusch B, Pinzger G, Zeimet A et al . Serum IgG, IgM, and IgA reactivity to human papillomavirus types 11 and 6 virus-like particles in different gynecologic patient groups . J Infect Dis 1995 ; 172 : 395 – 402.
Marais DJ, Rose RC, Lane C, Kay P, Nevin J, Denny L, et al . Seroresponses to human papillomavirus types 16, 18, 31, 33, and 45 virus-like particles in South African women with cervical cancer and cervical intraepithelial neoplasia . J Med Virol 2000 ; 60 : 403 – 410.
De Paschale M, Clerici P . Serological diagnosis of Epstein-Barr virus infection: problems and solutions . World J Virol 12 February 2012 ; 1 : 31 – 43.
Hong B, Peng G, Berry L, Gottschalk S, Jung JU, Chen SY et al . Generating CTLs against the subdominant EBV LMP antigens by transient expression of an A20 inhibitor with EBV LMP proteins in human DCs . Gene Ther 2012 ; 19 : 818 – 827.
Lee SP, Thomas WA, Blake NW, Rickinson AB . Transporter (TAP)-independent processing of a multiple membrane-spanning protein, the Epstein-Barr virus latent membrane protein 2 . Eur J Immunol 1996 ; 26 : 1875 – 1883.
Khanna R, Burrows SR, Nicholls J, Poulsen LM . Identification of cytotoxic T cell epitopes within Epstein-Barr virus (EBV) oncogene latent membrane protein 1 (LMP1): evidence for HLA A2 supertype-restricted immune recognition of EBV-infected cells by LMP1-specific cytotoxic T lymphocytes . Eur J Immunol 1998 ; 28 : 451 – 458.
Okugawa K, Itoh T, Kawashima I, Takesako K, Mazda O, Nukaya I et al . Recognition of Epstein-Barr virus-associated gastric carcinoma cells by cytotoxic T lymphocytes induced in vitro with autologous lymphoblastoid cell line and LMP2-derived, HLA-A24-restricted 9-mer peptide . Oncol Rep 2004 ; 12 : 725 – 731.
Lautscham G, Haigh T, Mayrhofer S, Taylor G, Croom-Carter D, Leese A et al . Identification of a TAP-independent, immunoproteasome-dependent CD8+ T-cell epitope in Epstein-Barr virus latent membrane protein 2 . J Virol 2003 ; 77 : 2757 – 2761.
Münz C, Moormann A . Immune escape by Epstein Barr virus associated malignanci . Semin Cancer Biol 2008 ; 18 : 381 – 387.
Depil S, Moralès O, Castelli FA, Delhem N, François V, Georges B et al . Determination of a HLA II promiscuous peptide cocktail as potential vaccine against EBV latency II malignancies . J Immunother 2007 ; 30 : 215 – 226.
Toure-Balde A, Perlaza BL, Sauzet JP, Ndiaye M, Aribot G, Tall A et al . Evidence for multiple B- and T-cell epitopes in Plasmodium falciparum liver-stage antigen 3 . Infect Immun 2009 ; 77 : 1189 – 1196.
Tian L, Wang HN, Lu D, Zhang YF, Wang T, Kang RM . The immunoreactivity of a chimeric multi-epitope DNA vaccine against IBV in chickens . Biochem Biophys Res Commun 2008 ; 377 : 221 – 225.
Zhou WY, Shi Y, Wu C, Zhang WJ, Mao XH, Guo G . Therapeutic efficacy of a multi-epitope vaccine against Helicobacter pylori infection in BALB/c mice model . Vaccine 2009 ; 27 : 5013 – 5019.
Liu S, Shi L, Cheng YB, Fan GX, Ren HX, Yuan YK . Evaluation of protective effect of multi-epitope DNA vaccine encoding six antigen segments of Toxoplasma gondii in mice . Parasitol Res 2009 ; 105 : 267 – 274.
Lin CL, Lo WF, Lee TH, Ren Y, Hwang SL, Cheng YF et al . Immunization with Epstein-Barr Virus (EBV) peptide-pulsed dendritic cells induces functional CD8+ T-cell immunity and may lead to tumor regression in patients with EBV-positive nasopharyngeal carcinoma . Cancer Res 2002 ; 63 : 6952 – 6958.
Acknowledgements
This work was supported by a grant from the National Natural Science Foundation of China (No: 81372447).
Author information
Authors and Affiliations
Rights and permissions
About this article
Cite this article
Lin, X., Chen, S., Xue, X. et al. Chimerically fused antigen rich of overlapped epitopes from latent membrane protein 2 (LMP2) of Epstein–Barr virus as a potential vaccine and diagnostic agent. Cell Mol Immunol 13, 492–501 (2016). https://doi.org/10.1038/cmi.2015.29
Received:
Revised:
Accepted:
Published:
Issue date:
DOI: https://doi.org/10.1038/cmi.2015.29


