Figure 3

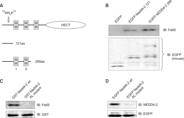
PPLP motif of Nedd4-2 interacts with Fe65. (A) Nedd4-2 (wt) or deletion mutant (121 or 299 aa, as indicated above) and AL mutant (72PPLP75 was changed to 72APLA75) which was constructed by site directed mutagenesis are shown. Nedd4-2 deletion mutant or AL mutant were inserted into GST fusion (for bacteria) or EGFP fusion (for cell line) expression vector. (B) After transfection into HEK 293 with Nedd4-2 deletion mutants (121 and 299 aa) or (wt), as EGFP vector alone (for negative control) indicated above, the immunoprecipitation were performed with EGFP antibody and western blot was performed with Fe65 or Nedd4-2 antibody. The results which obtained with EGFP Nedd4-2 (wt), 121 and 299 mutants showed the interaction with Fe65, whereas EGFP vector alone did not (left lane). To monitor the EGFP fusion protein expression level, western blot was performed with a Fe65 antibody. (C) The purified GST Nedd4-2 (wt) or GST Nedd4-2 AL mutant fusion protein was used as the bait protein to pull down Fe65 from HEK 293 cell lysates as described in the Methods section. Nedd4-2 (wt) brought down Fe65 from HEK 293 cell lysates in high quantities, whereas GST Nedd4-2 AL mutant fusion protein did not. To monitor the GST fusion protein amount, western blot was performed with a GST antibody. (D) To determine whether EGFP Nedd4-2 (wt) was able to specifically bind to Fe65, EGFP Nedd4-2 (wt) or EGFP Nedd4-2 AL mutant was transfected into HEK 293 cells. Immunoprecipitation was performed with EGFP antibody and western blot was performed with Fe65 antibody. In contrast to the results obtained with EGFP Nedd4-2 (wt), the EGFP Nedd4-2 AL mutant failed to interact with Fe65 (right lane). To monitor the EGFP fusion protein amount, western blot was performed with a GFP antibody.