Abstract
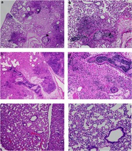
Lung infections with Pseudomonas aeruginosa and other pathogens in cystic fibrosis (CF) cause progressive airway obstruction and tissue damage, the predominant cause of morbidity and mortality in CF. We investigated whether a recombinant adeno-associated virus type 5 (AAV5) vector expressing murine interleukin (IL)-10 (AAV5.Cβ-mIL-10), a regulatory/anti-inflammatory cytokine, could decrease airway inflammation in IL-10 knockout mice chronically infected with mucoid P. aeruginosa. Mice that received AAV5.Cβ-mIL10 through intratracheal inoculation produced IL-10 at an average of 25 000 pg/ml in the epithelial lining fluid (ELF) and 12 000 pg/g-lung tissue 6 weeks post-vector delivery, significantly higher levels than in placebo-treated mice. At 3 days post-infection, proinflammatory cytokines (IL-1β, tumor necrosis factor (TNF)-α, macrophage inhibitory protein (MIP)-1α and (KC) in the ELF and lung homogenate were decreased (1–9 folds) in the AAV5.Cβ-mIL10-treated mice accompanied by less pronounced and more localized neutrophil infiltration in lung sections, when compared with placebo-treated mice. These results suggest that AAV5.Cβ-mIL10 induces IL-10 levels in the lungs mediating a significant anti-inflammatory response and making AAV-IL-10 gene transfer a potentially useful therapy in the treatment of CF lung disease.
This is a preview of subscription content, access via your institution
Access options
Subscribe to this journal
Receive 6 print issues and online access
$259.00 per year
only $43.17 per issue
Buy this article
- Purchase on SpringerLink
- Instant access to the full article PDF.
USD 39.95
Prices may be subject to local taxes which are calculated during checkout




Similar content being viewed by others
References
Govan JR, Deretic V . Microbial pathogenesis in cystic fibrosis: mucoid Pseudomonas aeruginosa and Burkholderia cepacia. Microbiol Rev 1996; 60: 539–574.
Bonfield TL, Konstan MW, Burfeind P, Panuska JR, Hilliard JB, Berger M . Normal bronchial epithelial cells constitutively produce the anti-inflammatory cytokine interleukin-10, which is downregulated in cystic fibrosis. Am J Respir Cell Mol Biol 1995; 13: 257–261.
Bonfield TL, Panuska JR, Konstan MW, Hilliard KA, Hilliard JB, Ghnaim H et al. Inflammatory cytokines in cystic fibrosis lungs. Am J Respir Crit Care Med 1995; 152 (6 Part 1): 2111–2118.
Khan TZ, Wagener JS, Bost T, Martinez J, Accurso FJ, Riches DW . Early pulmonary inflammation in infants with cystic fibrosis. Am J Respir Crit Care Med 1995; 151: 1075–1082.
Balough K, McCubbin M, Weinberger M, Smits W, Ahrens R, Fick R . The relationship between infection and inflammation in the early stages of lung disease from cystic fibrosis. Pediatr Pulmonol 1995; 20: 63–70.
Armstrong DS, Grimwood K, Carzino R, Carlin JB, Olinsky A, Phelan PD . Lower respiratory infection and inflammation in infants with newly diagnosed cystic fibrosis. BMJ 1995; 310: 1571–1572.
Ramsey BW . Management of pulmonary disease in patients with cystic fibrosis. N Engl J Med 1996; 335: 179–188.
Noah TL, Black HR, Cheng PW, Wood RE, Leigh MW . Nasal and bronchoalveolar lavage fluid cytokines in early cystic fibrosis. J Infect Dis 1997; 175: 638–647.
Dosanjh AK, Elashoff D, Robbins RC . The bronchoalveolar lavage fluid of cystic fibrosis lung transplant recipients demonstrates increased interleukin-8 and elastase and decreased IL-10. J Interferon Cytokine Res 1998; 18: 851–854.
Bonfield TL, Konstan MW, Berger M . Altered respiratory epithelial cell cytokine production in cystic fibrosis. J Allergy Clin Immunol 1999; 104: 72–78.
Rosenfeld M, Gibson RL, McNamara S, Emerson J, Burns JL, Castile R et al. Early pulmonary infection, inflammation, and clinical outcomes in infants with cystic fibrosis. Pediatr Pulmonol 2001; 32: 356–366.
Osika E, Cavaillon JM, Chadelat K, Boule M, Fitting C, Tournier G et al. Distinct sputum cytokine profiles in cystic fibrosis and other chronic inflammatory airway disease. Eur Respir J 1999; 14: 339–346.
de Waal Malefyt R, Abrams J, Bennett B, Figdor CG, de Vries JE . Interleukin 10(IL-10) inhibits cytokine synthesis by human monocytes: an autoregulatory role of IL-10 produced by monocytes. J Exp Med 1991; 174: 1209–1220.
Ralph P, Nakoinz I, Sampson-Johannes A, Fong S, Lowe D, Min HY et al. IL-10, T lymphocyte inhibitor of human blood cell production of IL-1 and tumor necrosis factor. J Immunol 1992; 148: 808–814.
Cassatella MA, Meda L, Bonora S, Ceska M, Constantin G . Interleukin 10 (IL-10) inhibits the release of proinflammatory cytokines from human polymorphonuclear leukocytes. Evidence for an autocrine role of tumor necrosis factor and IL-1 beta in mediating the production of IL-8 triggered by lipopolysaccharide. J Exp Med 1993; 178: 2207–2211.
Armstrong L, Jordan N, Millar A . Interleukin 10 (IL-10) regulation of tumour necrosis factor alpha (TNF-alpha) from human alveolar macrophages and peripheral blood monocytes. Thorax 1996; 51: 143–149.
Cox G . IL-10 enhances resolution of pulmonary inflammation in vivo by promoting apoptosis of neutrophils. Am J Physiol 1996; 271 (4 Part 1): L566–L571.
Rennick D, Davidson N, Berg D . Interleukin-10 gene knock-out mice: a model of chronic inflammation. Clin Immunol Immunopathol 1995; 76 (3 Part 2): S174–S178.
Chmiel JF, Konstan MW, Knesebeck JE, Hilliard JB, Bonfield TL, Dawson DV et al. IL-10 attenuates excessive inflammation in chronic Pseudomonas infection in mice. Am J Respir Crit Care Med 1999; 160: 2040–2047.
Guilbault C, Stotland P, Lachance C, Tam M, Keller A, Thompson-Snipes L et al. Influence of gender and interleukin-10 deficiency on the inflammatory response during lung infection with Pseudomonas aeruginosa in mice. Immunology 2002; 107: 297–305.
Saadane A, Soltys J, Berger M . Role of IL-10 deficiency in excessive nuclear factor-kappaB activation and lung inflammation in cystic fibrosis transmembrane conductance regulator knockout mice. J Allergy Clin Immunol 2005; 115: 405–411.
Heeckeren A, Walenga R, Konstan MW, Bonfield T, Davis PB, Ferkol T . Excessive inflammatory response of cystic fibrosis mice to bronchopulmonary infection with Pseudomonas aeruginosa. J Clin Invest 1997; 100: 2810–2815.
Coleman FT, Mueschenborn S, Meluleni G, Ray C, Carey VJ, Vargas SO et al. Hypersusceptibility of cystic fibrosis mice to chronic Pseudomonas aeruginosa oropharyngeal colonization and lung infection. Proc Natl Acad Sci USA 2003; 100: 1949–1954.
van Heeckeren AM, Schluchter MD, Drumm ML, Davis PB . Role of Cftr genotype in the response to chronic Pseudomonas aeruginosa lung infection in mice. Am J Physiol Lung Cell Mol Physiol 2004; 287: L944–L952.
Yu H, Hanes M, Chrisp CE, Boucher JC, Deretic V . Microbial pathogenesis in cystic fibrosis: pulmonary clearance of mucoid Pseudomonas aeruginosa and inflammation in a mouse model of repeated respiratory challenge. Infect Immun 1998; 66: 280–288.
Chmiel JF, Konstan MW, Saadane A, Krenicky JE, Lester Kirchner H, Berger M . Prolonged inflammatory response to acute Pseudomonas challenge in interleukin-10 knockout mice. Am J Respir Crit Care Med 2002; 165: 1176–1181.
Mulligan MS, Jones ML, Vaporciyan AA, Howard MC, Ward PA . Protective effects of IL-4 and IL-10 against immune complex-induced lung injury. J Immunol 1993; 151: 5666–5674.
Zuany-Amorim C, Haile S, Leduc D, Dumarey C, Huerre M, Vargaftig BB et al. Interleukin-10 inhibits antigen-induced cellular recruitment into the airways of sensitized mice. J Clin Invest 1995; 95: 2644–2651.
Sawa T, Corry DB, Gropper MA, Ohara M, Kurahashi K, Wiener-Kronish JP . IL-10 improves lung injury and survival in Pseudomonas aeruginosa pneumonia. J Immunol 1997; 159: 2858–2866.
Soltys J, Bonfield T, Chmiel J, Berger M . Functional IL-10 deficiency in the lung of cystic fibrosis (cftr(-/-)) and IL-10 knockout mice causes increased expression and function of B7 costimulatory molecules on alveolar macrophages. J Immunol 2002; 168: 1903–1910.
Flotte TR, Afione SA, Conrad C, McGrath SA, Solow R, Oka H et al. Stable in vivo expression of the cystic fibrosis transmembrane conductance regulator with an adeno-associated virus vector. Proc Natl Acad Sci USA 1993; 90: 10613–10617.
Conrad CK, Allen SS, Afione SA, Reynolds TC, Beck SE, Fee-Maki M et al. Safety of single-dose administration of an adeno-associated virus (AAV)- CFTR vector in the primate lung. Gene Ther 1996; 3: 658–668.
Beck SE, Jones LA, Chesnut K, Walsh SM, Reynolds TC, Carter BJ et al. Repeated delivery of adeno-associated virus vectors to the rabbit airway. J Virol 1999; 73: 9446–9455.
Wagner JA, Moran ML, Messner AH, Daifuku R, Conrad CK, Reynolds T et al. A phase I/II study of tgAAV-CF for the treatment of chronic sinusitis in patients with cystic fibrosis. Hum Gene Ther 1998; 9: 889–909.
Wagner JA, Messner AH, Moran ML, Daifuku R, Kouyama K, Desch JK et al. Safety and biological efficacy of an adeno-associated virus vector-cystic fibrosis transmembrane regulator (AAV-CFTR) in the cystic fibrosis maxillary sinus. Laryngoscope 1999; 109 (2 Part 1): 266–274.
Flotte TR, Brantly ML, Spencer LT, Byrne BJ, Spencer CT, Baker DJ et al. Phase I trial of intramuscular injection of a recombinant adeno-associated virus alpha 1-antitrypsin (rAAV2-CB-hAAT) gene vector to AAT-deficient adults. Hum Gene Ther 2004; 15: 93–128.
Moss RB, Rodman D, Spencer LT, Aitken ML, Zeitlin PL, Waltz D et al. Repeated adeno-associated virus serotype 2 aerosol-mediated cystic fibrosis transmembrane regulator gene transfer to the lungs of patients with cystic fibrosis: a multicenter, double-blind, placebo-controlled trial. Chest 2004; 125: 509–521.
Zabner J, Seiler M, Walters R, Kotin RM, Fulgeras W, Davidson BL et al. Adeno-associated virus type 5 (AAV5) but not AAV2 binds to the apical surfaces of airway epithelia and facilitates gene transfer. J Virol 2000; 74: 3852–3858.
Walters RW, Yi SM, Keshavjee S, Brown KE, Welsh MJ, Chiorini JA et al. Binding of adeno-associated virus type 5 to 2,3-linked sialic acid is required for gene transfer. J Biol Chem 2001; 276: 20610–20616.
Di Pasquale G, Davidson BL, Stein CS, Martins I, Scudiero D, Monks A et al. Identification of PDGFR as a receptor for AAV-5 transduction. Nat Med 2003; 9: 1306–1312.
Virella-Lowell I, Zusman B, Foust K, Loiler S, Conlon T, Song S et al. Enhancing rAAV vector expression in the lung. J Gene Med 2005; 7: 842–850.
Pestka S, Krause CD, Sarkar D, Walter MR, Shi Y, Fisher PB . Interleukin-10 and related cytokines and receptors. Annu Rev Immunol 2004; 22: 929–979.
Murray PJ . The primary mechanism of the IL-10-regulated antiinflammatory response is to selectively inhibit transcription. Proc Natl Acad Sci USA 2005; 102: 8686–8691.
Hilliard JB, Konstan MW, Davis PB . Inflammatory mediators in CF patients. Methods Mol Med 2002; 70: 409–431.
Tilg H, van Montfrans C, van den Ende A, Kaser A, van Deventer SJ, Schreiber S et al. Treatment of Crohn's disease with recombinant human interleukin 10 induces the proinflammatory cytokine interferon gamma. Gut 2002; 50: 191–195.
Sapru K, Stotland PK, Stevenson MM . Quantitative and qualitative differences in bronchoalveolar inflammatory cells in Pseudomonas aeruginosa-resistant and -susceptible mice. Clin Exp Immunol 1999; 115: 103–109.
Tam M, Snipes GJ, Stevenson MM . Characterization of chronic bronchopulmonary Pseudomonas aeruginosa infection in resistant and susceptible inbred mouse strains. Am J Respir Cell Mol Biol 1999; 20: 710–719.
Gosselin D, Stevenson MM, Cowley EA, Griesenbach U, Eidelman DH, Boule M et al. Impaired ability of Cftr knockout mice to control lung infection with Pseudomonas aeruginosa. Am J Respir Crit Care Med 1998; 157 (4 Part 1): 1253–1262.
van Heeckeren AM, Schluchter MD . Murine models of chronic Pseudomonas aeruginosa lung infection. Lab Anim 2002; 36: 291–312.
Hansen CR, Pressler T, Koch C, Hoiby N . Long-term azitromycin treatment of cystic fibrosis patients with chronic Pseudomonas aeruginosa infection; an observational cohort study. J Cyst Fibros 2005; 4: 35–40.
Lucidi V, Tozzi AE, Bella S, Turchetta A . A pilot trial on safety and efficacy of erythrocyte-mediated steroid treatment in CF patients. BMC Pediatr 2006; 6: 17.
Wojtczak HA, Kerby GS, Wagener JS, Copenhaver SC, Gotlin RW, Riches DW et al. Beclomethasone diproprionate reduced airway inflammation without adrenal suppression in young children with cystic fibrosis: a pilot study. Pediatr Pulmonol 2001; 32: 293–302.
Sumner-Jones SG DL, Varathalingam A, Gill DR, Hyde SC . Long-term persistence of gene expression from adeno-associated virus serotype 5 in the mouse airways. Gene Therapy 2006; 13: 1703–1713.
Xiao X, Li J, Samulski RJ . Efficient long-term gene transfer into muscle tissue of immunocompetent mice by adeno-associated virus vector. J Virol 1996; 70: 8098–8108.
Clark KR, Sferra TJ, Johnson PR . Recombinant adeno-associated viral vectors mediate long-term transgene expression in muscle. Hum Gene Ther 1997; 8: 659–669.
Fisher KJ, Jooss K, Alston J, Yang Y, Haecker SE, High K et al. Recombinant adeno-associated virus for muscle directed gene therapy. Nat Med 1997; 3: 306–312.
Donahue BA, McArthur JG, Spratt SK, Bohl D, Lagarde C, Sanchez L et al. Selective uptake and sustained expression of AAV vectors following subcutaneous delivery. J Gene Med 1999; 1: 31–42.
Kettler LJ, Sawyer SM, Winefield HR, Greville HW . Determinants of adherence in adults with cystic fibrosis. Thorax 2002; 57: 459–464.
Goudy K, Song S, Wasserfall C, Zhang YC, Kapturczak M, Muir A et al. Adeno-associated virus vector-mediated IL-10 gene delivery prevents type 1 diabetes in NOD mice. Proc Natl Acad Sci USA 2001; 98: 13913–13918.
Zolotukhin S, Potter M, Zolotukhin I, Sakai Y, Loiler S, Fraites Jr TJ et al. Production and purification of serotype 1, 2, and 5 recombinant adeno-associated viral vectors. Methods 2002; 28: 158–167.
Acknowledgements
We thank the University of Florida Vector Core for production and titering of the AAV5.Cβ-mIL10 vector.
Author information
Authors and Affiliations
Corresponding author
Ethics declarations
Competing interests
The authors declare no conflict of interest.
Additional information
This work is supported by NIH awards: NIH grant R01 HL64044 (Ferkol, PI), P01 HL051811 (Flotte, PI), and K08 HL067260 (Virella-Lowell, PI), and the SC Physician's Care Charity for funding of the BioPlex instrument and its reagents (Virella-Lowell, PI). MUSC has an NIH award C06 RR015455 from the Extramural Research Facilities Program of the NCRR for the support of animal facilities.
Rights and permissions
About this article
Cite this article
Buff, S., Yu, H., McCall, J. et al. IL-10 delivery by AAV5 vector attenuates inflammation in mice with pseudomonas pneumonia. Gene Ther 17, 567–576 (2010). https://doi.org/10.1038/gt.2010.28
Received:
Revised:
Accepted:
Published:
Issue date:
DOI: https://doi.org/10.1038/gt.2010.28
Keywords
This article is cited by
-
The role of IL-10 in immune responses against Pseudomonas aeruginosa during acute lung infection
Cell and Tissue Research (2021)
-
Acute lung injury induced by whole gastric fluid: hepatic acute phase response contributes to increase lung antiprotease protection
Respiratory Research (2016)
-
Pseudomonas aeruginosa eradicates Staphylococcus aureus by manipulating the host immunity
Nature Communications (2014)
-
Intranasal Administration of Adeno-associated Virus Type 12 (AAV12) Leads to Transduction of the Nasal Epithelia and Can Initiate Transgene-specific Immune Response
Molecular Therapy (2011)


