Figure 1

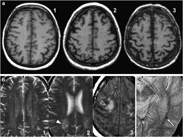
(a) Atrophy scoring. Axial reformatted 3-mm thickness T1-weighted images. From left to right are images from three different patients showing no atrophy (1), some atrophy (2) and substantial atrophy (3). No patient in our sample met the criteria for end-stage atrophy. (b) Ischemia scoring. Axial long TR double-echo images. From left to right are images from three different patients with punctate lesions (1), beginning confluent lesions (2, white arrowhead) and confluent lesions (3, open arrowhead). (c). Microbleeds. Axial gradient-echo T2-weighted image. Tiny hypointense brain lesion (arrow) corresponding to a small hemorrhage.