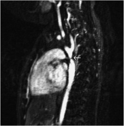
Figure 1

Contrast magnetic resonance image in the sagittal plane demonstrating the heart anteriorly and descending aortic arch and descending aorta posteriorly. Discrete coarctation of the aorta is indicated by the white arrow after the origin left subclavian artery. Numerous prominent collateral arteries providing collateral flow are seen.