Abstract
Objective:
Congenital diaphragmatic hernia (CDH) has a poor prognosis, despite intensive management. The prognosis of CDH is correlated with hypoplastic lung, but it is difficult to measure the degree of hypoplasia. The aims of this study were, therefore, to examine the relationship between chest X-ray and prognosis, and to assess whether the radiographic findings were a good indicator of hypoplastic lungs in patients with CDH.
Study Design:
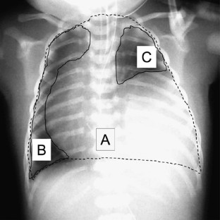
Fifty neonates with CDH were classified radiographically into apex and hilar types. To assess the differences in clinical course between these two groups, gestational age, birth weight, prenatal diagnosis, survival rate, requirement of extracorporeal membrane oxygenation (ECMO) therapy and lung area on X-rays were analyzed.
Results:
In all, 32 cases were of the apex type and 18 were hilar. The survival rate of the hilar group (33%) was significantly worse than that of the apex group (81%) (P<0.001). The hilar group required ECMO therapy more frequently than did the apex group.
Conclusions:
The present results show a significant correlation between survival rate and the findings of chest X-rays in CDH. Radiographic findings are thus a good clinical indicator of the prognosis of CDH in neonates.
This is a preview of subscription content, access via your institution
Access options
Subscribe to this journal
Receive 12 print issues and online access
$259.00 per year
only $21.58 per issue
Buy this article
- Purchase on SpringerLink
- Instant access to the full article PDF.
USD 39.95
Prices may be subject to local taxes which are calculated during checkout




Similar content being viewed by others
References
Kaiser JR, Rosenfeld CR . A population-based study of congenital diaphragmatic hernia: impact of associated anomalies and preoperative blood gases on survival. J Pediatr Surg 1999; 34: 1196–1202.
Ssemakula N, Stewart DL, Goldsmith LJ, Cook LN, Bond SJ . Survival of patients with congenital diaphragmatic hernia during the ECMO era: An 11-year experience. J Pediatr Surg 1997; 32: 1683–1689.
Dimitriou G, Greenough A, Davenport M, Nicolaides K . Prediction of outcome by computer-assisted analysis of lung area on the chest radiograph of infants with congenital diaphragmatic hernia. J Pediatr Surg 2000; 35: 489–493.
Donnelly LF, Sakurai M, Klosterman LA, Delong DM, Strife JL . Correlation between findings on chest radiography and survival in neonates with congenital diaphragmatic hernia. Am J Roentgenol 1999; 173: 1589–1593.
Cloutier R, Allard V, Fournier L, Major D, Pichette J, St-Onge O . Estimation of lungs' hypoplasia on postoperative chest X-rays in congenital diaphragmatic hernia. J Pediatr Surg 1993; 28: 1086–1089.
Holt PD, Arkovitz MS, Berdon WE, Stolar CJ . Newborns with diaphragmatic hernia: initial chest radiography does not have a role in predicting clinical out come. Pediatr Radiol 2004; 34: 462–464.
Shimono R, Ibara S, Takamatsu H, Ikenoue T, Maruyama Y, Asano H et al. The results of treatment for congenital diaphragmatic hernia comparison between prenatally diagnosed group and postnatally diagnosed group. Acta Neonatlogica Japonica 1998; 34: 123–128.
Ruano R, Benachi A, Joubin L, Aubry MC, Thalabard JC, Dumez Y et al. Tree-dimensional ultrasonographic assessment of fetal lung volume as prognostic factor in isolated congenital diaphragmatic hernia. BJOG 2004; 111: 423–429.
Nakata M, Sase M, Anno K, Sumie M, Hasegawa K, Nakamura Y et al. Prenatal sonographic chest and lung measurements for predicting severe pulmonary hypoplasia in left-sided congenital diaphragmatic hernia. Early Hum Dev 2003; 72: 75–81.
Keller TM, Rake A, Michel SC, Seifert B, Wisser J, Marincek B et al. MR assessment of fetal lung development using lung volumes and signal intensities. Eur Radiol 2004; 14: 984–989.
Ruano R, Joubin L, Sonigo P, Benachi A, Aubry MC, Thalabard JC et al. Fetal lung volume estimated by 3-dimensional ultrasonography and magnetic resonance imaging in cases with isolated congenital diaphragmatic hernia. J Ultrasound Med 2004; 23: 353–358.
Nagaya M, Akatsuka H, Kato J, Niimi N, Ishiguro Y . Development in lung function of the affected side after repair of congenital diaphragmatic hernia. J Pediatr Surg 1996; 31: 349–356.
Sakai H, Tamura M, Hosokawa Y, Bryan AC, Barker GA, Bohn DJ . Effect of surgical repair on respiratory mechanics in congenital diaphragmatic hernia. J Pediatrics 1987; 111: 432–438.
Author information
Authors and Affiliations
Corresponding author
Rights and permissions
About this article
Cite this article
Shimono, R., Ibara, S., Maruyama, Y. et al. Radiographic findings of diaphragmatic hernia and hypoplastic lung. J Perinatol 30, 140–143 (2010). https://doi.org/10.1038/jp.2009.129
Received:
Revised:
Accepted:
Published:
Issue date:
DOI: https://doi.org/10.1038/jp.2009.129
Keywords
This article is cited by
-
A predictive scoring system for small diaphragmatic defects in infants with congenital diaphragmatic hernia
Pediatric Surgery International (2022)


